歯の根の奥から膿が出てきたとき、誰でも強い不安を感じます。
「これって治るの?」「歯を抜かないといけないの?」と、夜も眠れないほど痛みが続く方も少なくありません。
実は、膿が出ているということは、歯の根の奥に”感染”が起きているサインです。
放置してしまうと、骨の炎症がどんどん広がって上顎洞に達し鼻からも膿が出たり、炎症が下顎管の中の重要な神経に波及して痺れが出たりすることもあります。
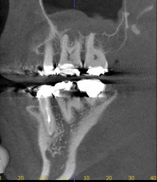
この画像は根尖病変が上顎洞まで波及し、レントゲン上に上顎洞が白い影ができて歯性上顎洞炎になっているものです。

しかし、適切な根管治療を受ければ、膿を出して炎症を鎮め、歯を残せる可能性が十分にあります。
この記事では、膿がたまる原因や、根管治療で膿を出す具体的な方法、治療の流れ、期間、そして治らない場合の対処法まで、赤坂さくら歯科クリニックがわかりやすく解説します。
しかし、適切な根管治療を受ければ、膿を出して炎症を鎮め、歯を残せる可能性が十分にあります。
この記事では、膿がたまる原因や、根管治療で膿を出す具体的な方法、治療の流れ、期間、そして治らない場合の対処法まで、赤坂さくら歯科クリニックがわかりやすく解説します。
目次
歯の根に膿がたまる原因とそのメカニズム
歯の根に膿がたまる主な原因は、「根尖性歯周炎(こんせんせいししゅうえん)」という炎症性の病気です。
これは、むし歯や外傷によって歯の神経(歯髄)が細菌感染し、壊死してしまうことから始まります。
細菌は死んだ神経を栄養源にして増殖し、やがて歯の根の先端(根尖)にまで広がります。
このとき、免疫細胞が細菌を排除しようとして戦いますが、細菌の力が体の免疫より強かった場合、完全に除去することができません。
結果として、根の先に”膿の袋”(根尖病巣)ができ、炎症が続く状態になります。
膿がたまったまま放置すると、骨が溶けたり、瘻孔(フィステル)と呼ばれる膿の通り道が歯ぐきにできることもあります。
自然に治ることはほとんどなく、放置すればするほど悪化します。
痛みが一時的に引いたとしても、それは炎症が沈静化しただけであり、細菌は残っています。
そのため、根管治療で内部の感染を根本から取り除くことが必要なのです。
膿が出ているときに現れる主な症状
根管治療が必要な「膿がたまっているサイン」として、以下のような症状があります。
いずれかに心当たりがある場合は、早めに歯科医院を受診することが重要です。
- 歯ぐきの腫れ・白いできもの(フィステル):膿の出口として歯ぐきにニキビのような膨らみが現れる
- 噛んだときの痛み・違和感:食事のたびにズキッとする、歯が浮くような感覚がある
- 持続する痛みやうずき:何もしていないのにジンジン・ズキズキする、夜間痛がある
- 顔・頬の腫れ:炎症が広がると顔全体がむくんだように腫れる場合がある
- 口臭・口の中の苦い味:膿の排出によって不快な味や臭いが生じる
- 発熱・倦怠感:感染が広がり全身症状として発熱する場合もある
「痛みがないから大丈夫」は危険です。 慢性化すると痛みを感じにくくなることがありますが、その間も骨の破壊は進行しています。
根管治療で膿を出す5つの方法
膿を「無理やり出す」のではなく、自然に排出されるように導くのが根管治療の基本です。
症状の程度や膿の量に応じて、以下のような処置が行われます。
① 歯の内部に排膿経路を作る
歯に小さな穴を開け、内部の圧を下げて膿が自然に外へ流れ出すようにします。
圧が抜けることでズキズキする痛みが一気に軽くなることもあります。
この処置はドレナージ(排膿)と呼ばれ、根管治療の初期段階で行われる最も基本的な方法です。
② 根管を開放状態にする
膿が多く溜まっている場合、一時的に根管を開放し、膿が完全に出きるまで待つことがあります。
ただし、口腔内の細菌が再び侵入するリスクがあるため、歯科医師が慎重に経過を観察します。
一見シンプルに見えますが、管理が非常に重要なステップです。
なお、赤坂さくら歯科クリニックでは根管を開放したまま患者様にご帰宅いただくことはありません。
開放している間に口腔内の細菌がどんどん根管内に入ってしまうからです。
しっかり時間をかけて膿み出しを行い、消毒剤で洗浄を行い仮封を行いご帰宅いただきます。
③ 歯ぐきの切開による排膿
歯ぐきの腫れが強く、内部の膿が外に出ない場合は、歯ぐきを小さく切開して膿を直接排出します。
この方法は、急性の炎症で痛みや腫れが強いときに特に有効で、処置後は痛みが一気に軽減することも多いです。
局所麻酔を用いるため、処置中の痛みはほとんどありません。
④ 瘻孔(フィステル)を利用した排膿
膿がたまり続けると、体は自然に出口を作ろうとします。
これが「瘻孔(フィステル)」と呼ばれる小さな通路で、歯ぐきに白いできもののような膨らみとして現れます。
この自然の排出口を洗浄・消毒し、炎症を鎮めていく方法もあります。
ただ、根本的な解決にはならないため根管内から根管洗浄を行うことが重要です。
⑤ 薬剤による間接的な排膿促進
根管内を徹底的に洗浄したあと、抗菌薬や水酸化カルシウムなどの薬剤を充填し、内部の炎症を抑えます。
薬の効果で膿の吸収が進み、体の免疫反応によって徐々に排出が促されます。
これは他の処置を補助する役割として行われることが多い方法です。
このように、根管治療は“膿を出すための治療”というより、“膿が出る原因そのものを除去する治療”です。
急がず、確実に感染源を取り除くことが、再発を防ぐ最大のポイントになります。
根管治療の流れと通院のステップ
根管治療は、一度の処置で完結するものではありません。
膿が出る状態を落ち着かせ、再発しないようにするまで、段階を踏んで丁寧に進めていきます。
1.診察と検査
レントゲンやCTを用いて、膿の位置・広がり・骨の状態を正確に把握します。
炎症の程度により、治療計画や通院回数を決定します。
2.感染組織の除去
歯に小さな穴を開け、感染した神経や組織を取り除きます。
細い器具(ファイルやリーマー)を使い、複雑な根管の中を少しずつ清掃します。
3.洗浄と消毒
専用の薬液で根管内部を徹底的に洗浄します。
水酸化カルシウムや次亜塩素酸ナトリウムなど、強い抗菌力を持つ薬剤を使って細菌を減らします。
4.根管の封鎖(根管充填)
膿が完全に止まり、痛みや腫れが消えたことを確認してから、根管を専用の材料で密閉します。
再感染を防ぐために、隙間なく充填することが重要です。
5.被せ物の装着
最後に、削った歯を補強するための土台と被せ物(クラウン)を取り付けます。
これでようやく治療が完了となります。
この一連の過程を丁寧に行うことで、再発のリスクを最小限に抑えられます。
通院を途中でやめてしまうと、せっかく減った細菌が再び増えてしまうため、最後まで通いきることがとても大切です。
膿を出すまでの期間と回数の目安
根管治療にかかる期間は、膿の量や炎症の広がり、細菌の種類によって変わります。
一般的な目安は以下の通りです。
| 症状 | 通院回数 | 治療期間 | 特徴 |
| 軽度(初期感染) | 2〜3回 | 約1〜2週間 | 膿が少なく、治癒も早い |
| 中等度(感染拡大) | 4〜6回 | 約3〜4週間 | 消毒を繰り返す必要あり |
| 重度(再治療・慢性) | 7回以上 | 数ヶ月 | 膿が多く、骨に炎症が及ぶ |
1週間以内の排膿は自然な経過ですが、1週間以上続く場合は注意が必要です。
また、膿が止まっても、すぐに「完治」とは限りません。
根管内部が完全に無菌化されるまで、治療を継続することが再発防止につながります。
治療中の膿は「正常」な反応?それとも「異常」?
根管治療の初期段階で膿が出るのは、体が感染を外に押し出そうとしているサインであり、基本的には自然な反応といえます。
根の奥で溜まっていた膿が通路を通じて排出されることで、内部の圧力が下がり、痛みが軽くなることもあります。
治療開始から1週間ほどの間に、少しずつ膿が出て、それが徐々に減っていくようであれば、治療が順調に進んでいる証拠です。
時間の経過とともに痛みが落ち着き、腫れも小さくなっていくようであれば、炎症は確実に鎮まりつつあります。
一方で、膿が長く続いたり、痛みや腫れがかえって強くなる場合は注意が必要です。
1週間を過ぎても膿の量が減らない、顔が腫れて熱を持つ、発熱や倦怠感があるといった場合には、炎症が再び広がっている可能性があります。
また、飲み込みづらさや息苦しさを感じるような症状があるときは、感染が周囲の組織に及んでいる恐れもあります。
このような異常が見られた際には、自己判断で「もう少し様子を見よう」とせず、早めに歯科医院に連絡することが大切です。
根管内で細菌が再び増えている、または別の根に炎症が及んでいる可能性もあるため、早期の対応が治癒への近道になります。
治療中の生活で気をつけるポイント
根管治療を成功させるためには、診療室での処置だけでなく、日常生活の過ごし方も非常に重要です。
治療の途中で「痛みがなくなったから」と自己判断で通院をやめてしまうと、内部に残った細菌が再び増殖し、再発を招くことがあります。
治療が完全に終わるまでは、必ず医師の指示どおりに通院を続けるようにしましょう。
また、処方された薬は、症状が軽くなっても必ず最後まで飲み切ることが大切です。
抗生物質を途中でやめると、細菌が体内に残り、再感染を引き起こすおそれがあります。
治療中は、硬い食べ物や粘着性の高い食品を避け、仮封を壊したり患部を舌で触ったりしないよう注意してください。
飲酒や喫煙も血流を悪化させ、治りを遅らせる原因になるため、できるだけ控えるのが望ましいです。
さらに、体調の回復には休養も欠かせません。
睡眠をしっかり取り、免疫力を保つことで、炎症の鎮静がスムーズに進みます。
歯みがきは優しく行い、治療中の歯を無理にこすらないようにしましょう。
うがいやマウスウォッシュを併用して口の中を清潔に保つことも、再感染を防ぐための重要なポイントです。
こうした小さな心がけの積み重ねが、根管治療の成功率を高め、再発を防ぐ一番の秘訣といえるでしょう。
膿が治らない・出ない場合の選択肢
根管治療を続けても膿がなかなか引かない、あるいは一度落ち着いたはずの膿が再び出てきたときは、感染が根の奥や見えない部分に残っている可能性があります。
根管内は細く複雑に枝分かれしており、わずかな細菌の取り残しが再発の原因になることも少なくありません。
そのため、膿が治まらない場合には「追加治療」を検討することが大切です。
再根管治療(リトリートメント)
これは、いったん封鎖した根管を再び開けて内部を清掃し直し、取り残されていた感染源を徹底的に取り除く治療です。
通常の治療では確認できない細かな部分までアプローチするために、CT画像による三次元診断や、マイクロスコープ(歯科用顕微鏡)を使用して処置を進めます。
拡大視野のもとで治療することで、わずかな汚染部位や複雑な根の分岐も見逃さず、再発リスクを大幅に減らすことができます。
症例によっては数回の通院が必要ですが、歯を抜かずに再生を目指せる大切なステップです。
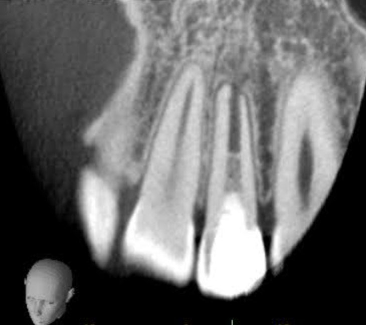
外科的歯内療法(根尖切除術)
この治療は、歯ぐきを小さく切開して、歯の根の先端部分から直接膿の袋(病巣)を取り除く方法です。
根管の中からでは届かない深い部分の感染を、外側から正確に取り除くことができるのが大きな特徴です。
局所麻酔のもとで行われるため、手術中の痛みはほとんどなく、術後の腫れや違和感も数日で落ち着くことがほとんどです。
こちらが根尖切除術を行なった左上2番(治療前)です。


次の写真は根尖切除術後3ヶ月後で、根尖が順調に治癒し骨が再生してきています。


抜歯が必要なケース
歯根が割れている、または骨の破壊が進んでいる場合は、残念ながら抜歯が最善の選択となることもあります。
その後は、インプラントやブリッジ、義歯などで機能を回復します。
どの方法を選ぶかは、歯の状態・炎症の範囲・全身の健康状態によって変わります。
赤坂さくら歯科クリニックでは、まず「歯を残せる可能性」を最優先に考え、最適な治療法をご提案しています。
精密根管治療という選択肢について
再発を防ぐために注目されているのが、「精密根管治療」です。
これは、マイクロスコープやCTを使って、肉眼では見えない細部まで確認しながら行う高精度な治療です。
マイクロスコープは視野を20倍以上に拡大できるため、見落とされやすい分岐根や微細なクラックも発見できます。
さらに、ラバーダム(ゴム製のシート)を装着して唾液の侵入を防ぎ、無菌的な環境を保ちながら治療を行います。
これにより、再感染のリスクを大幅に減らすことができます。
成功率は、保険治療が約50%前後、自費の精密治療では90%以上といわれています。
費用は1歯あたり5〜15万円が目安ですが、将来的な再治療や抜歯を避けられると考えれば、十分検討する価値のある治療法です。
まとめ|膿を出すことより「原因を断つ」ことが大切
膿が出るというのは、歯の中で感染が続いているサインです。
大切なのは膿を「出す」ことではなく、「膿が出ない状態をつくること」。
そのためには、感染源をしっかり取り除く根管治療が欠かせません。
軽度であれば数回の通院で治まりますが、重度になると数ヶ月かかることもあります。
焦らず、歯科医師の指示に従いながら確実に治していくことが、再発を防ぎ、歯を長く残すための一番の近道です。
赤坂さくら歯科ではマイクロスコープ・ラバーダムを用いた精密根管治療を行っています。
再発の原因となる「見えない細菌」まで徹底的に取り除くことで、可能な限り歯を残すことを目指します。
・痛みや腫れが続いている
・他院で治療中だが膿が止まらない
・抜歯と診断されたが、残せる可能性を知りたい
そんな方は、ぜひ一度ご相談ください。
治療方針をわかりやすくご説明いたします。

