「銀歯が気になって思い切り笑えない」「歯の色や形をもっときれいにしたい」と感じたことはありませんか。
オールセラミック治療は、そんな悩みを解決できる審美性の高い治療法です。
しかし、費用も時間もかかるため「絶対に後悔したくない」と、赤坂でのクリニック選びに慎重になる方も多いでしょう。
本記事では、後悔しない歯科選びの3つのポイントと、「赤坂さくら歯科クリニック」の魅力を詳しく解説します。
赤坂で審美性の高いオールセラミックの被せ物治療なら、赤坂さくら歯科クリニックへご相談ください。
目次
赤坂でオールセラミックのクリニックを選ぶための3つのポイント

オールセラミック治療は、セラミック素材のみで作られた被せ物で、天然歯のような美しい口元を再現する治療法です。
金属を使用しないためアレルギーの心配がなく、高い審美性から人気の治療法になります。
しかし、せっかく治療を受けるなら後悔はしたくないです。
赤坂には多くの歯科クリニックがあり、どこで治療を受けるべきか迷う方も少なくありません。
審美性はもちろん、長期的な歯の健康まで考えた歯科選びが重要です。
納得のいく治療のためには、料金だけでなく医師の技術力やクリニックの方針を見極める必要があります。
ここからは、赤坂で失敗しない歯科選びの3つの重要なポイントを詳しく見ていきましょう。
1.症例実績と症例写真で信頼性を見極める
赤坂でオールセラミック治療を受けるクリニックを選ぶ際、まず確認したいのが「症例実績の多さ」です。
なぜなら、医師の技術力は経験に大きく左右されるからです。
多くの症例を手がけてきた医師は、さまざまな歯の形や噛み合わせに対応する知識と熟練の技術を持っています。
特に、オールセラミックのように自然な美しさが求められる治療では、医師のデザイン力や仕上がりをイメージする力が、治療レベルを大きく向上させます。
そこで、信頼性を見極めるために必ずチェックしたいのが「症例写真」です。
治療前後の写真を見れば、クリニックの得意な仕上がりや医師のセンスが自分に合うか判断できます。
オールセラミックの透明感や、周りの歯との調和など、言葉だけでは分からない質感を事前に確認することが大切です。
例えば、赤坂さくら歯科クリニックは、豊富な症例と実績をインスタグラムで公開しています。
この実績を支えているのが、確かな技術力を持つ医師が在籍していることです。
医師は勉強会に多数出席し、豊富な症例経験を持つ専門性の高いスタッフが揃っています。
さらに、各分野の専門医が在籍し、全ての治療を最高水準で提供できる体制を整えているため、幅広いお悩みに対応可能な点も大きな強みでしょう。
インスタグラムには写真が多数掲載されているため、希望に近い症例を探しやすいです。
症例写真の確認は、納得のいくオールセラミック治療の第一歩になります。

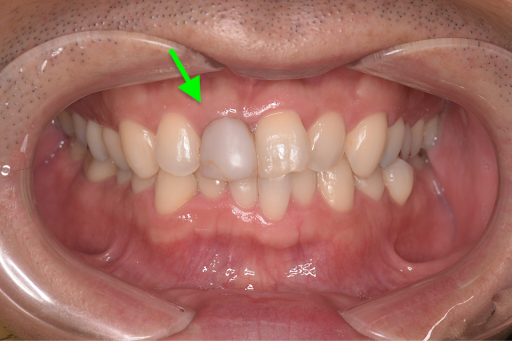
こちらの患者様は歯のがたつきがあり、歯並びに乱れが見られました。
とくに右上1番の被せ物は色が合っておらず、口元の印象に差が出ていました。
前歯は目立ちやすい部位です。
そのため、わずかな色の違いでも気になりやすい状態でした。

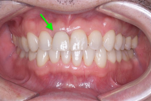
インビザライン矯正で歯並びを整え、がたつきを改善しました。
全体のバランスが整い、自然な口元へと近づきました。
そのうえで、右上1番の被せ物をオールセラミッククラウンでやり直しました。
周囲の歯の色に合わせて製作したため、前歯の色調がなじみ、統一感のある仕上がりとなりました
2.説明力で安心感を得られるか
オールセラミック治療は、簡単にはやり直せない治療です。
だからこそ、治療前に医師から十分な説明を受けられるかは、重要なポイントになります。
経験豊富な医師ほど、専門的な内容も分かりやすく伝え、患者様一人一人の疑問や不安に寄り添ってくれます。
メリット・デメリットなどを丁寧に説明してくれる医師のもとなら、納得して治療に進めるでしょう。
質の高いカウンセリングは、患者様の安心感に直結します。
赤坂さくら歯科クリニックでは、その対話を大切にしているのが特徴です。
初回のカウンセリングに約1時間を確保し、パノラマ、CTレントゲンや口腔内写真などの精密な検査データを見ながら、現在の状態や治療計画を詳しく説明します。
一方的に話すのではなく、患者様の希望を丁寧に聞き、最善の治療法を一緒に考えてくれる姿勢が魅力です。
さらに、女性医師・女性スタッフによる女性ならではの優しくきめ細かな治療とご対応で、安心して受診いただけます。
また、一日の診療人数を絞った完全予約制のため、プライバシーに配慮した専用ルームで、じっくり相談できる環境が整っています。
丁寧な対話を重ねることで、治療への不安が解消され、大きな安心感に繋がるでしょう。
3.素材・品質と顔全体のバランスを考えた診療
オールセラミック治療で後悔しないためには、素材の品質に目を向けることが重要です。
セラミックは種類やブランドで品質が大きく異なり、美しさや耐久性に直結します。
料金の安さだけでなく、どのような素材を使い、こだわりを持って治療を行うかを確認することが大切です。
さらに、優れた審美歯科治療は、歯一本の美しさだけでなく、口元から顔全体のバランスまでを考慮して行われます。
口元の印象が変わることで、Eラインが整うなど、顔全体の若々しい印象にも繋がるからです。
これは料金の差ではなく、まさに歯科医師の技術とセンスが問われる領域です。
その点で、赤坂さくら歯科クリニックは「自然美と機能美の両立」を追求しています。
強度と美しさを兼ね備えたジルコニアセラミックなどを選択でき、治療にはマイクロスコープを使用します。
肉眼の何倍も拡大した視野で精密な処置を行い、削る量を最小限に抑え、被せ物との隙間を限りなくゼロに近づけることが可能です。
見た目の美しさはもちろん、虫歯の再発を防ぎ、歯の健康を長く守ることにも繋がります。
赤坂のオールセラミック治療のクリニックなら赤坂さくら歯科クリニック
ここまで、赤坂で後悔しないオールセラミック治療のクリニック選びについて、3つの重要なポイントを解説しました。
これらの基準を高いレベルで満たし、質の高い審美歯科を求める方に紹介したいのが「赤坂さくら歯科クリニック」です。
赤坂さくら歯科クリニックでは、最新の設備と徹底した衛生管理のもと、患者様一人一人と真摯に向き合うことを大切にしています。
赤坂駅から徒歩30秒とアクセス抜群で、ウェブ予約システムも完備しており、24時間いつでもご予約が可能なため、予約が取りやすいのが魅力です。
また、患者様のお時間を大切にし、待ち時間が少なくスムーズな診療を心がけているため、忙しい方もストレスなく通院できます。
プライバシーに配慮した完全個室で、最新設備による精密な治療を受けられます。
技術力はもちろん、患者様の心に寄り添う温かな姿勢も、多くの方に選ばれる理由です。
まとめ

今回は、赤坂でのオールセラミック治療のクリニック選びのポイントとおすすめの赤坂さくら歯科クリニックを紹介しました。
満足のいく治療のためには、①症例実績と写真、②丁寧な説明による安心感、③素材の品質と顔全体のバランス、という3つの視点が欠かせません。
赤坂さくら歯科クリニックは、これらのポイントを高い水準で満たしています。
豊富な実績と分かりやすい説明、マイクロスコープによる精密治療で、審美性と機能性を両立した質の高い治療を提供しています。
口元のコンプレックスを解消し、自信に満ちた笑顔を手に入れたい方は、一度相談してみてはいかがでしょうか。
赤坂でのオールセラミック治療なら、赤坂さくら歯科クリニックへご相談ください。

