「前歯だけ歯並びが気になるけど、全体矯正は高そう…」 そんなふうに感じている方は多いのではないでしょうか。
実は、インビザラインには前歯のみを整えるプランがあり、費用相場は20〜60万円ほどで全体矯正に比べて手軽に始めることが可能です。
この記事では、前歯のみのインビザライン治療にかかる費用相場やプラン別の料金、選び方のポイント、注意点までわかりやすく解説します。
赤坂さくら歯科クリニックでは、インビザラインによる歯並びの矯正を提供しているので、興味がある方はぜひご相談ください。
目次
インビザラインで前歯のみ矯正する費用相場

インビザラインは歯並びを整える為に使用されるマウスピース型矯正装置の一つです。
「対象者・歯の状態・治療範囲」によってインビザラインの種類が異なり、費用も変わります。
ここでは前歯のみの費用の相場や、費用に含まれるもの・含まれないもの、費用が変動する要因などをお伝えします。
前歯のみ矯正の費用は20~60万円が相場
インビザラインで前歯のみを対象にした費用相場は20~60万円程度です。
軽度の歯並びであれば20万円前後から治療できる場合もありますが、歯のねじれやすき間などがやや複雑な症例では60万円程度になることもあります。
30~60万円前後が平均的な価格帯で、全体矯正(約70~120万円)と比べると、費用を抑えて前歯の見た目を整えられるのが特徴です。
費用に含まれるもの・含まれないもの
インビザラインの前歯矯正の費用には、基本的に初診カウンセリングや検査・診断、マウスピースの作成費用が含まれます。
また、初診・カウンセリングは無料で行われ、精密検査(3~5万円)や通院時の調整費用もプラン内に含まれるのが一般的です。
一方で、保定装置(リテーナー)や追加アライナーの作成費用は別途かかることが多く、相場はそれぞれ2~5万円ほど必要で、虫歯治療やクリーニング、再診料(1回あたり3,000~5,000円)が必要になるケースもあります。
料金プランを比較する際は、「どこまでが総額に含まれているか」を確認し、追加費用が発生しない“総額制”のクリニックを選ぶことが、安心して治療を進めるポイントです。
費用が変動する要因
インビザラインの前歯矯正の費用は、治療期間や歯並びの状態によって変わります。
軽度の歯並びなら約3〜6ヶ月の短期間で済むので費用も抑えやすい一方、歯の重なりやねじれがある場合は1年ほどかかることもあるので把握しておきましょう。
また、使用するマウスピースの枚数(10〜20枚程度)や、クリニックの立地・設備、担当医の経験や専門性によっても料金に差が出るため、事前に見積もりを確認しておくことが大切です。
【比較表】前歯のみ vs 全体矯正の費用
| 項目 | 前歯のみ | 全体矯正 |
| 相場費用 | 20~60万円 | 70~120万円 |
| 治療期間 | 3~12ヶ月 | 1~3年 |
| マウスピース枚数 | 10~20枚 | 20~50枚 |
| 適応症例 | 軽度~中等度 | あらゆる症例 |
インビザラインの前歯のみの費用と全体矯正の比較表です。
赤坂さくら歯科クリニックでは一人ひとりに最適なメニューをカウンセリング時に提案しています。
インビザライン前歯のみ矯正のプラン別費用

歯並びの状態や動かす範囲によって、インビザラインで前歯だけを整えたい場合でも最適なプランは異なります。
「ライト」と「エクスプレス」と呼ばれる部分矯正向けのプランがインビザラインには存在し、治療範囲や使用するマウスピースの枚数に応じて費用が変動するのが特徴です。
ここからは、赤坂さくら歯科クリニックでも採用されている「インビザラインライト」と「インビザラインエクスプレス」の特徴と費用について詳しく解説します。
インビザラインライト|費用:45~60万円
インビザラインライトは、最大14枚のマウスピースを使用し、部分矯正から軽度~中等度の全体矯正まで対応できるプランです。
インビザラインGoよりも治療範囲が広いのが特徴で、約7ヶ月前後の治療期間が必要とされています。
前歯のみの並びだけでなく、少し奥の歯にも動きを出したい方に向いている治療です。
赤坂さくら歯科クリニックでも人気が高く、インビザラインGoではカバーできない症例にも柔軟に対応しています。
インビザラインエクスプレス|費用:20~40万円
インビザラインエクスプレスは、最大7枚のマウスピースで行う超軽度の歯並び改善に特化したプランです。
費用も20~40万円程度と最もリーズナブルで、3~6ヶ月の短い治療期間で終了します。
「少しの隙間が気になる」「前歯の傾きを直したい」という方に向いており、目立たず短期間で仕上げたい方にぴったりな選択肢です。
【プラン比較表】どれを選ぶべき?
| プラン名 | 費用相場 | 枚数 | 期間 | 適応症例 |
| インビザラインライト | 45~60万円 | 最大14枚 | 7ヶ月 | 中等度 |
| インビザラインエクスプレス | 20~40万円 | 最大7枚 | 3~6ヶ月 | 超軽度 |
こちらは赤坂さくら歯科クリニックで提供しているプランです。
じっくり1時間かけて行う患者様の悩みの解決に向けた丁寧なカウンセリングを提供しています。
カウンセリングは無料ですので、お気軽にご相談ください。
他のマウスピース矯正との費用比較

インビザライン以外にも多くのマウスピース矯正ブランドが登場し、どの治療を選べば良いのか迷う方も多いのではないでしょうか。
ここでは、インビザラインと他の主要なマウスピース矯正の費用・特徴を比較して、最適な選択を見つけるためのポイントを解説します。
インビザライン vs キレイライン矯正
キレイライン矯正は、初回2万円・合計10~40万円と低価格な部分が魅力です。
一方、インビザラインは20~60万円と価格は多少上がりますが、より広範囲かつ複雑な歯並びにも対応可能とされています。
インビザラインとの違いは、キレイラインは軽度症例向けで、治療範囲や調整精度・アフターサポートが限定的なため、注意が必要です。
前歯の矯正で確実な仕上がりを重視するなら、実績豊富なインビザラインをおすすめします。
インビザライン vs ワイヤー矯正(部分)
インビザラインに比べて、部分的な表側ワイヤー矯正は15~60万円、裏側ワイヤー矯正では40~80万円ほどの費用がかかります。
インビザラインはこれらに比べ、見た目が自然で痛みが少なく、取り外しが可能なところが大きな利点です。
インビザラインは歯並びの程度や理想の仕上がりに合わせて、いくつかのメニューが選べ
ます。
赤坂さくら歯科クリニックが提供するインビザラインのメニューはこちらです。
| メニュー | 矯正期間 | 適応症例 |
| インビザラインエクスプレス
(軽度矯正) |
3ヶ月 | 軽微な部分矯正、矯正後の後戻り、審美的な改善 |
| インビザライン ライト
(中度矯正) |
7ヶ月 | 軽度のガタガタ(部分矯正)、審美的な治療、矯正後の後戻り、セラミック矯正の前の全処置 |
| インビザライン フル
(通常矯正) |
1~3年 | すべての症例 |
インビザライン vs その他のマウスピース矯正
ローコスト系のマウスピース矯正は費用10~30万円と安価ですが、精度が低いという点や、適応症例が限られるというデメリットもあります。
インビザラインは世界で1400万人以上の実績を誇り、複雑な歯列にも対応可能です。
赤坂さくら歯科クリニックでは、正規認定ドクターによる精密な診断のもと、安心・確実なインビザラインの前歯の矯正を受けることができます。
【総合比較表】前歯矯正の方法別費用
| 矯正方法 | 費用相場 | 期間 | 目立ちにくさ |
| インビザライン前歯のみ | 20~60万円 | 3~12ヶ月 | ◎ |
| キレイライン | 10~40万円 | 5~12ヶ月 | ◎ |
| 表側ワイヤー部分矯正 | 15~60万円 | 6~12ヶ月 | △ |
| 裏側ワイヤー部分矯正 | 40~80万円 | 6~12ヶ月 | ◎ |
インビザライン前歯のみ矯正の治療期間と流れ

インビザラインによる前歯のみの矯正は、歯並びの状態や移動量によって期間が異なります。
治療期間の目安や、治療の流れとスケジュールを解説していますので、参考にしてみてください。
治療期間の目安
前歯のみ矯正の治療期間の目安は、超軽度な症例であれば最短3ヶ月、標準的なケースでは6〜10ヶ月が一般的です。
やや複雑な症例でも最長12ヶ月程度で完了することが多く、ワイヤー矯正に比べて短期間で効果を実感できるでしょう。
赤坂さくら歯科クリニックでは、治療前に3Dシミュレーションを行い、具体的な期間と仕上がりの目安を丁寧に説明しています。
治療の流れとスケジュール
1.初診・カウンセリング(1回目)
赤坂さくら歯科クリニックでは初回の相談無料です。(2回目以降有料)
歯並びの相談や、治療方法の提案、費用の見積もりなどを相談することができます。
お電話、もしくはオンライン予約フォームから無料相談にお申し込みが可能です。(無料相談30分)
2.精密検査・診断(2回目)
口腔内スキャン(iTero)やレントゲン・CT撮影を行い、3Dシミュレーションで歯の動きを確認して治療計画を作成します。
費用は約3〜5万円です。
赤坂さくら歯科クリニックは、他院での検査結果のデータや治療計画・見積もりなどを持参することも可能なので、お持ちの方は確認しておきましょう。
3.マウスピース製作・治療開始(3回目)
製作期間は約2〜4週間ほどかかり、受け取り後は装着方法の説明を受け、1日20〜22時間装着を継続します。
マウスピースは1〜2週間ごとに交換が必要なので、最初は2週間に一度など来院いただき、マウスピースに慣れてきたらチェックやクリーニングの通院で大丈夫です。
4.定期チェック(月1回程度)
定期チェックで行うことは、経過の確認と次のマウスピースの受け取りです。
調整がある場合は必要に応じて行い、計画通りの歯の動きをサポートしていきます。
5.治療完了・保定期間(最終回)
歯並びが整ったら保定装置(リテーナー)を装着し、後戻りを防止します。
保定期間は約1〜2年で、定期的なメンテナンスも大切です。
通院回数の目安
インビザライン前歯矯正では、治療開始までに2〜3回の来院が必要です。
治療中は月1回程度の定期チェックを行い、全体ではおよそ5〜13回程度の通院で完結します。
赤坂さくら歯科クリニックでは、患者様のライフスタイルに合わせたスケジュール調整にも柔軟に対応可能です。
忙しい方でも無理なく通える体制が整っているので、安心して通うことができるでしょう。
インビザライン前歯のみ矯正に向いている人と向いていない人

ここでは、赤坂さくら歯科クリニックが実際に診療の中で判断している基準をもとに、
インビザライン前歯矯正に「向いている人」と「向いていない人」の特徴をまとめました。
ご自身の歯並びがどちらに当てはまるか、確認してみましょう。
| 向いている人(適応症例) | ・前歯の軽いガタつき・デコボコ
・軽度のすきっ歯(空隙歯列) ・軽度の出っ歯(上顎前突) ・軽度の受け口(反対咬合)※限定的 ・前歯のわずかなねじれ ・後戻りの修正 ・短期間で治療を終えたい人 ・費用を抑えたい人 ・目立たない矯正を希望する人 |
| 向いていない人(適応症例外) | ・重度の出っ歯・受け口
・ 重度の叢生(歯の重なりが激しい) ・奥歯の噛み合わせに問題がある ・抜歯が必要なケース ・骨格的な問題がある ・大きく歯を動かす必要がある ・歯周病が進行している |
前歯のみのインビザラインは、前歯の軽いガタつき・すきっ歯・わずかなねじれ・後戻りの修正など、軽度の乱れに向いています。
3〜12ヶ月で終わる短期治療を望む方や、費用を抑えて目立たない矯正をしたい方にも適しています。
一方で、重度の出っ歯・受け口、強い叢生、抜歯や骨格的な改善が必要なケース、歯周病や奥歯の噛み合わせの問題がある場合は前歯のみでは不十分で、全体矯正や別治療が必要です。
赤坂さくら歯科クリニックでは、まず無料カウンセリングで適応を丁寧に診断し、最適な治療プランを提案します。
気になる方は一度ご相談ください。
インビザライン前歯のみ矯正の費用を抑える方法

インビザラインは基本的に自費診療のため、公的医療保険は適用外となりますが、特定の条件を満たす場合には、高額療養費制度を利用して費用を抑えられる場合もあります。
費用を抑えたい方は役所や健康保険組合に相談し、高額療養費制度の対象を確認しましょう。
また、デジタルローンや分割払い、モニター制度の利用や総額制のクリニックなどを選ぶという方法もあります。
デンタルローン・分割払いを利用する
赤坂さくら歯科クリニックでは月々5,000円~の分割払いにも対応可能です。
また、必要書類の提示でデンタルローン(金利:3~8%程度)による分割払いも可能で、タブレット操作で申請をすることができ、当日中に審査結果が出ます(審査基準あり)。
赤坂さくら歯科クリニックのデンタルローンの条件は以下の通りです。
■ 3万から申請可能
■ 分割回数は最大120回まで
■ 実質年率2.9%~
■ アプラス・ジャックス・アイフルのデンタルローンに対応
月々1万〜2万円程度と無理をせずに支払うことができるのでご安心ください。
医療費控除を活用する
赤坂さくら歯科クリニックでは、インビザラインのメニューが矯正の程度や費用によって分けられており、より安い金額のサクライナー(赤坂さくら歯科クリニックオリジナルマウスピース矯正)・キレイライン・Zenyumも対応可能です。
患者様のお悩みに合わせて費用面も含めた最適な治療をおすすめしており、医療費控除の制度を利用し、医療費の負担を軽減できる場合もあります。
医療費控除を活用する
インビザラインの前歯矯正は、条件を満たせば医療費控除の対象になる場合があります。
年間の医療費が10万円を超えると、確定申告を通じて一部が所得税の還付として戻ってくる仕組みです。
また「美容目的」で前歯の矯正を受診しても、診断書で噛み合わせや機能改善を目的とした治療であることが確認できれば、控除が認められるケースもあります。
控除額の目安は、支払った医療費から保険金などを差し引いた金額のうち、10万円を超えた分です。
| 医療費控除の計算式 | (医療費などの合計額)ー(保険金などで受け取った金額)-(10万円または所得総額の5%の少ない額)
=(医療費控除の費用) |
領収書・診断書・確定申告書類を申告する前に準備しておきましょう。
少し手間はかかりますが、活用すれば実質的な治療費を抑えることが可能です。
モニター制度・キャンペーンを利用する
インビザラインの前歯矯正の費用を抑えたい方には、モニター制度や期間限定キャンペーンの活用がおすすめです。
例えば、SNS投稿モニターで10~30%割引になるケースや、初診カウンセリング無料キャンペーンを行っているクリニックも存在します。
また、学生割引や家族割引を設けている場合もあるため、条件に当てはまる方は積極的にチェックしましょう。
赤坂さくら歯科クリニックでは矯正歯科担当医による初回カウンセリングが無料です。
歯列矯正のエキスパートであるドクターが在籍しており、カウンセリングにて丁寧にお悩みをお伺いします。
先進の機器による的確な診査・診断のもと、患者さま一人ひとりにぴったりの治療プランを提案しますのでお気軽にご予約ください。
総額制のクリニックを選ぶ
インビザラインの前歯矯正の治療費は、総額制のクリニックを選ぶことで予算の管理がしやすくなります。
費用がすべて含まれている調整料込みの料金設定であれば、途中で追加費用が発生する心配もありません。
また、治療中のトラブルや追加アライナーに対応できる保証制度の有無も確認しておくと良いでしょう。
| 検査料金 | 55,000円 |
| 軽度矯正(エクスプレス) | 両顎 264,000円
片顎 178,000円 |
| 部分矯正(ライト) | 418,000円 |
| 通常矯正(モデレート) | 770,000円 |
| 通常矯正(コンプリヘンシブ) | 1,045,000円 |
赤坂さくら歯科クリニックでは、明確な料金提示と丁寧な説明で、初めての方でも安心して治療を始められます。
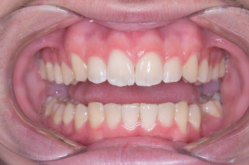
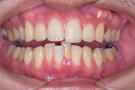
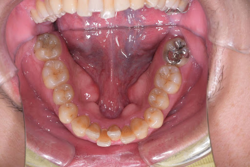
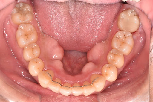
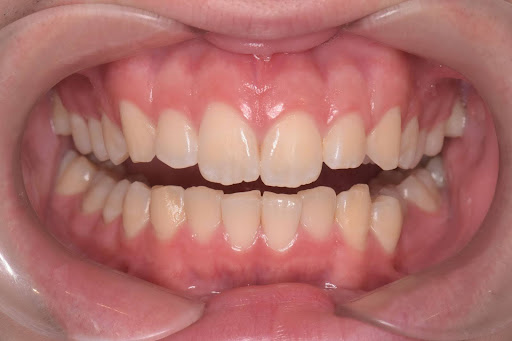
赤坂さくら歯科クリニックのインビザラインの症例写真
こちらはインビザラインのライトプランの症例写真です。
こちらは術後の写真となります。
綺麗な歯並びになっております。

こちらはインビザラインフルプランの術前の写真です。


これがその術後の症例写真です。
フルプランのためかなり全体的に綺麗になりました。


次にこちらの写真はワイヤー矯正の症例写真です。
術前の写真です。

術後の写真となっております。

まとめ:インビザライン前歯のみ矯正で理想の笑顔を手に入れるために
インビザライン前歯のみ矯正の費用相場は20~60万円(平均30~50万円)、治療期間は3~12ヶ月が目安です。
部分矯正向けのインビザラインGoは短期間で仕上がるため特に人気があります。
赤坂さくら歯科クリニックでは、部分矯正から全体矯正までインビザラインに幅広く対応しており、各分野の専門医が在籍しています。
インビザライン前歯矯正をご検討中の方は、ぜひ赤坂さくら歯科クリニックへご相談ください。

