インプラント治療を受けた後、注意したいのが「インプラント周囲炎」です。
実はインプラントは天然の歯よりも歯周病にかかりやすく、適切なケアを怠るとせっかく入れたインプラントを失ってしまうかもしれません。
この記事では、インプラントと歯周病の関係性や発症要因、効果的な予防法を解説します。
では、インプラント治療から治療後のメンテナンスまで専門医が丁寧にサポートいたします。
お気軽にご相談ください。
目次
インプラントと歯周病の関係性とは?

インプラントは天然の歯と比べて、実は歯周病にかかりやすいという特徴があります。
その理由は、天然の歯には「歯根膜」という組織が歯と骨の間を埋めているのに対し、インプラントにはこの歯根膜が備わっていないためです。
歯根膜がないことで、インプラントと骨の隙間に歯垢が侵入しやすくなり、細菌感染のリスクが高まります。
このようにしてインプラント周囲に発症する歯周病を「インプラント周囲炎」と呼び、放置すると支えている歯ぐきや骨にまで炎症が広がってしまいます。
厄介なのは、初期段階では痛みや腫れなどの自覚症状がほとんど現れないことです。
さらに炎症への抵抗力が弱いため、気づいたときにはすでに症状が進行しているケースも少なくありません。
インプラントと歯周病|発症の要因
インプラント周囲炎を引き起こす要因は、大きく分けて2つあります。
1つは口腔内の細菌による感染、もう1つは歯ぎしりや食いしばりなどの過度な力の負担です。
これらの要因が単独、あるいは複合的に作用することで、インプラント周囲の組織に炎症が生じてしまいます。
それぞれの要因を詳しく見ていきましょう。
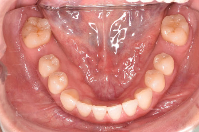
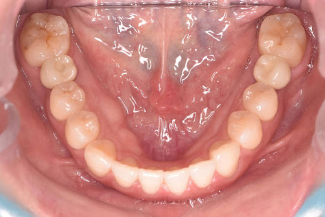
以下は、赤坂さくら歯科クリニックのインプラントでしっかり噛めるようになった症例です。
下顎左右6番を虫歯で失われていたため、サクライナーというオリジナルマウスピース矯正で隙間を埋めて2本のインプラントを埋入しました。
Before

After

術後は良好で旦那様も紹介いただき、ご夫婦で赤坂さくら歯科クリニックでインプラントをされています。
口腔内の細菌による感染
インプラントの周囲で発症する歯周病で考えられる大きな原因は、歯周病菌によるバクテリア感染です。
毎日のお手入れが十分でないと、口の中で歯周病菌が繁殖しやすい環境になってしまいます。
また、体の抵抗力が落ちているときは要注意です。
免疫機能が低下すると、細菌への防御力が弱まり、炎症が長引き悪化する可能性が高まります。
特に喫煙習慣のある方は、ニコチンの影響で血行が悪くなり、患部に十分な栄養が届かず抵抗力が下がってしまいます。
さらに糖尿病や貧血などの持病がある場合、白血球のはたらきが弱まり患部に届きにくくなり、菌に感染しやすい状態になるため注意が必要です。
過度な咬合力(歯ぎしり・食いしばり)
歯ぎしりや食いしばりは、インプラント周囲の歯周病が発症する直接的な原因ではありませんが、発症のきっかけとなることがあります。
インプラントは横揺れの力に弱く、就寝中の歯ぎしりや日中の無意識な食いしばりによって、インプラントや周囲の歯ぐきに強い力が繰り返し加わると、組織に炎症が起こりやすくなります。
この炎症が生じた箇所は細菌にとっては絶好の侵入ポイントです。
炎症によって弱った組織に歯周病菌が感染し、そこからインプラント周囲炎へと進行してしまうケースも少なくありません。
特に普段から歯ぎしりの癖がある方は、マウスピースの使用など適切な対策を検討することが大切です。
インプラントの歯周病予防は定期メンテナンスが重要
インプラント治療後は、2〜3カ月に1回のペースで定期検診を受けることが推奨されています。
この定期的な通院こそが、インプラント周囲炎を防ぎ、長くインプラントを使い続けるための鍵です。
メンテナンスでは、まずX線検査でインプラントを支える骨の状態を確認します。
目に見えない骨の変化も早期に発見できるため、問題があれば速やかに対処できるでしょう。
また、歯周病菌の温床となる歯石を専用の器具で丁寧に取り除き、口腔内を清潔に保ちます。
さらに咬合状態のチェックも欠かせません。
噛み合わせのバランスが崩れていると、インプラントや周囲の組織に過度な負担がかかってしまいます。
インプラントを健康に保つには定期メンテナンスが必要なため、検診を習慣化し、欠かさず受診するようにしましょう。
インプラント治療は赤坂さくら歯科クリニックへ
赤坂さくら歯科クリニックでは、インプラント治療を検討されている方に安心して通院いただける環境を整えています。
患者様のお時間を大切にし、待ち時間が少ないスムーズな診療を心がけているほか、24時間いつでもご予約が可能なウェブ予約システムも完備し、忙しい方でも通いやすい体制です。
赤坂さくら歯科クリニックのインプラント治療の特徴を、詳しく紹介します。
赤坂さくら歯科クリニックのインプラント治療
赤坂さくら歯科クリニックでは、世界的に高いシェアを持つノーベルバイオケア社やストローマン社の純正インプラントを採用しています。
それぞれの患者様の症状やご予算に応じて、最適なメーカーをご提案可能です。
治療前には高度なデジタルCTで顎の骨の立体構造や神経の位置を詳細に把握して、ノーベルバイオケア社のDTXという専用ソフトウェアでデータを解析し、安全で確実な埋入位置を診断します。

インプラントに精通した歯科医師をはじめ、各分野の専門医が在籍しており、全ての治療を最高水準で提供できる体制を整えています。
さらに女性スタッフ・女性医師による丁寧な対応で、女性ならではの優しくきめ細かな治療が可能です。
カウンセリングではお口の現状や治療計画、メリット・デメリットをわかりやすくご説明し、患者様にご納得いただいてから治療を開始いたします。
骨が不足している方には骨造成にも対応しており、他院で断られた方もご相談ください。
また、インプラント本体には10年間の長期保証が付いているのも特徴です。
まとめ

インプラントは天然の歯に比べて歯周病にかかりやすく、日々のケアと定期的なメンテナンスが欠かせません。
細菌感染や過度な咬合力などの要因を理解し、適切な予防を心がけることで、インプラントを長く健康に保つことが可能です。
赤坂さくら歯科クリニックでは、経験豊富な専門医が丁寧にカウンセリングを行い、患者様一人一人に最適な治療プランをご提案いたします。
インプラント治療や治療後のメンテナンスで気になることがある方は、ぜひお気軽にご相談ください。

