奥歯はしっかり噛めるのに、前歯が当たらないというお悩みはありませんか。
うどんやパスタなどの麺類を前歯で噛み切ることができない、食事のたびに不便を感じているという方も多いのではないでしょうか。
前歯の間に隙間があいている状態は、「開咬(かいこう)」または「オープンバイト」と呼ばれる不正咬合の可能性があります。
一見、日常生活に大きな支障がないように思えるかもしれませんが、実は放置すると深刻な問題を引き起こします。
本記事では、開咬の原因、放置することで起こる影響、そして効果的な治療方法について詳しく解説いたします。

目次
前歯が噛み合わない「開咬(オープンバイト)」とは

開咬がどのような状態なのか、まずは基本的な知識から確認していきましょう。
ご自身の噛み合わせが開咬に該当するかどうか、チェックしてみてください。
開咬の定義と特徴
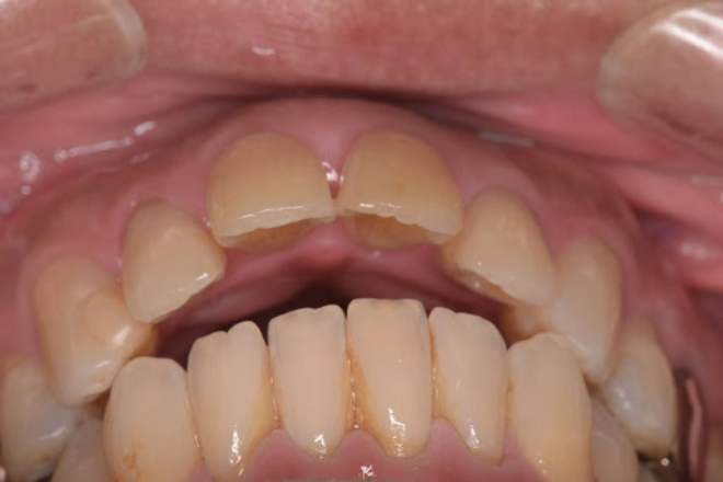
開咬とは、奥歯を噛んだときに上下の前歯の間に隙間ができてしまう状態のことです。
オープンバイトとも呼ばれ、不正咬合の一種に分類されます。
正常な噛み合わせでは、奥歯を噛んだときに上の前歯が下の前歯にわずかに重なります。
この状態であれば、前歯で食べ物を噛み切ることができます。
しかし、開咬の場合は、どれだけ奥歯を噛みしめても前歯同士が接触せず、隙間が残ってしまいます。
開咬は前歯部分に起こることが最も多いですが、奥歯に起こるケースもあります。
開咬のセルフチェック方法
ご自身の噛み合わせが開咬かどうか、以下のチェック表で確認してみましょう。
| チェック項目 |
| □ 奥歯を噛んだとき前歯に隙間がある |
| □ 麺類(薄い海苔)が前歯で噛み切れない |
| □ 発音がしにくい(特にサ行、タ行) |
| □ 口が閉じにくい |
| □ 口呼吸をしている |
| □ 舌を前に出す癖がある |
1つでも当てはまる → 開咬の可能性があります。
歯科医院での診断をおすすめします。
3つ以上当てはまる → 開咬の可能性が高いです。
早めに歯科医院を受診しましょう。
開咬になりやすい人の特徴
開咬は誰にでも起こりうる不正咬合ですが、特に以下のような特徴がある方はリスクが高いと言えます。
幼少期に指しゃぶりやおしゃぶりを長期間使用していた方は注意が必要です。
3歳を過ぎても続けていた場合、前歯を前方に押し出す力が長期間かかり、開咬の原因となります。
舌を前に出す癖(舌癖)がある方も開咬になりやすい傾向があります。
飲み込むときに無意識に舌を前に出していたり、普段から舌が下の歯の裏側にある方は、その癖が歯並びに影響を与えている可能性があります。
また、口呼吸が習慣になっている方、爪や唇を噛む癖がある方も要注意です。
これらの癖が長期間続くことで、徐々に歯並びが変化していきます。
顎の骨格的な問題が原因となっているケースもあります。
遺伝的な要因や成長過程での顎のバランスの問題により、開咬が生じることもあります。
開咬を放置するリスクと影響
開咬を治療せずに放置すると、さまざまな問題が生じます。
それぞれの影響について詳しく見ていきましょう。
食事・咀嚼への影響
開咬の最も直接的な影響は、食事がしにくくなることです。
前歯で食べ物が噛み切れないため、日常生活に大きな不便を感じる方が多くいらっしゃいます。
うどんやラーメン、パスタなどの麺類を前歯で噛み切ることができません。
ハンバーガーやサンドイッチをかぶりつくこともできず、小さくちぎって食べなければなりません。
これでは食事を心から楽しむことができませんよね。
さらに深刻なのは、前歯で噛み切れないために食べ物を丸飲みしてしまうことです。
十分に咀嚼されないまま飲み込むことで、胃腸に大きな負担がかかります。
消化不良を起こしやすくなり、長期的には健康面にも影響を及ぼす可能性があります。
将来的には咀嚼効率が低下し、栄養の吸収にも影響が出てくる恐れがあります。
奥歯への過度な負担
開咬で最も深刻な問題は、奥歯への過度な負担です。
前歯が機能しないため、すべての咀嚼を奥歯だけで行わなければなりません。
本来、噛む力は前歯と奥歯でバランスよく分散されるべきです。
しかし、開咬の場合は奥歯だけに過度な負担がかかり続けます。
この状態が長年続くと、奥歯の歯周病が進行しやすくなります。
奥歯を失うリスクも非常に高くなります。
実際、80歳で20本の歯を残すことを目指す「8020運動」において、開咬の方の達成者は0%というデータがあります。
これは、開咬の方がいかに歯を失いやすいかを示す驚くべき数字です。
奥歯を失ってしまうと、将来的に入れ歯やインプラントが必要になる可能性が高くなります。
早めの治療で、このようなリスクを回避することができます。
口腔内の健康への影響
開咬は口腔内の健康全体にも悪影響を及ぼします。
口が閉じにくいため、自然と口呼吸になってしまう方が多くいらっしゃいます。
口呼吸が習慣になると、ドライマウス(口腔内の乾燥)のリスクが高まります。
唾液には抗菌作用や緩衝作用があり、口腔内を清潔に保つ重要な役割を果たしています。
しかし、口腔内が乾燥すると唾液の作用が低下し、虫歯や歯周病のリスクが高まります。
また、口が乾燥した状態は細菌が繁殖しやすい環境です。
口臭が強くなったり、風邪やインフルエンザなどの感染症にかかりやすくなったりします。
開咬を改善することで、これらの問題も同時に解決することができます。
赤坂さくら歯科クリニックでの開咬治療
赤坂さくら歯科クリニックでは、患者様一人ひとりの症状に合わせた開咬治療をご提供しています。
主な治療方法をご紹介いたします。
マウスピース矯正(インビザライン・サクライナー)
当院では、透明で目立たないマウスピースを使用した矯正治療院内完結システムでご提供しています。
以下の表で、主な治療内容と費用をご確認ください。
開咬の治療には、インビザラインとサクライナーという2つの選択肢があります。
インビザラインは重度の歯並びにも対応可能で、認定医による精密な矯正治療を受けていただけます。
iTeroという3Dスキャナーでマウスピースの型取りを行うため、従来の型取りよりも快適で正確です。
一方、サクライナーは型をとって外部に流すのではなく、院内完結型の矯正システムで、低コストで質の高い治療を受けていただけます。
最短でカウンセリングの当日に治療を開始することも可能です。
矯正専門のドクターが初回から丁寧にサポートいたします。
| 検査・診断料 | 無料(初回セットやコース代に含む) |
| 初回お試し上下1セット
(ホワイトニングジェル1本込み) |
20,000円 |
| 5回コース | 176,000円 |
| 10回コース | 300,000円 |
| 15回コース | 440,000円 |
患者様のご予算やご希望に合わせて、最適な治療プランをご提案いたします。
デンタルローンや院内分割支払いも選択可能です(3万円から、最大120回、実質年率2.9-4.8%)。
リテーナー(保定装置)の使用
矯正治療が終わった後も、後戻りを防ぐためのケアが重要です。
矯正治療で正しい噛み合わせになった後は、リテーナー(保定装置)を使用して後戻りを防止します。
せっかく時間と費用をかけて改善した歯並びが元に戻ってしまわないよう、正しい噛み合わせを維持することが必須です。
当院では、上下3セット50000円です。
また、開咬の場合は舌癖などが原因となっていることが多いため、口周りの筋肉トレーニングも継続して行っていただきます。
正しい舌の位置や飲み込み方を習得することで、再発を防ぐことができます。
まとめ|前歯が噛み合わない開咬は早めの治療で改善しよう

開咬は、奥歯は噛めるのに前歯が当たらない不正咬合です。
原因は幼少期の指しゃぶり、舌癖、口呼吸などの悪い癖や、骨格的な問題が考えられます。
開咬を放置すると、奥歯への過度な負担により将来的に奥歯を失うリスクが非常に高くなります。
だからこそ、早期発見・早期治療が重要です。
赤坂さくら歯科クリニックでは、マウスピース矯正(インビザライン・サクライナー)により開咬を改善します。
透明で目立たない装置なので、日常生活への影響も最小限です。
サクライナーは院内完結型で低コストという特徴があり、患者様のニーズに合わせた治療プランをご提案いたしますので、お気軽にご相談ください。

