症例写真 インビザライン
Case21 インビザライン(矯正中)
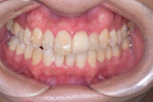
Before | After |
|---|---|
![]() |
![]() |
| 年齢・性別 | 30代男性 |
|---|---|
| リスクと副作用 | 痛みや違和感、むし歯、歯肉炎 |
| 備考 | 歯をぶつけて歯髄が失活し、歯冠が変色してしまったのでウォーキングブリーチを行い歯冠を白くしました。 叢生(がたつき)改善のためインビザライン矯正中です。 |

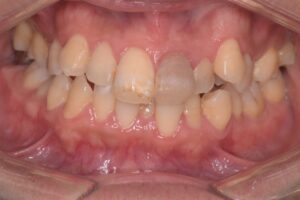
Before | After |
|---|---|
![]() |
![]() |
| 年齢・性別 | 30代男性 |
|---|---|
| リスクと副作用 | 痛みや違和感、むし歯、歯肉炎 |
| 備考 | 歯をぶつけて歯髄が失活し、歯冠が変色してしまったのでウォーキングブリーチを行い歯冠を白くしました。 叢生(がたつき)改善のためインビザライン矯正中です。 |