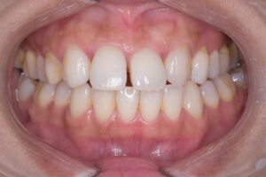
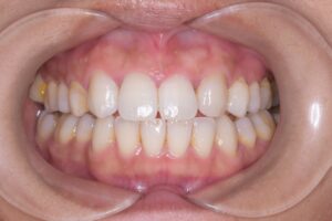
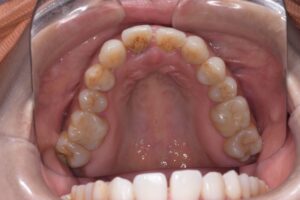
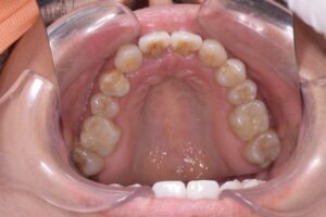
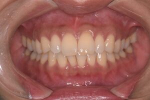
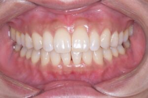
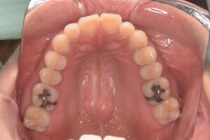
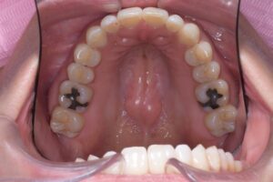
症例写真 インビザライン
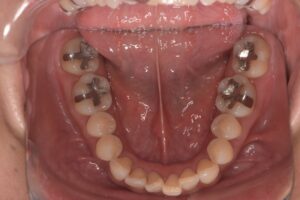
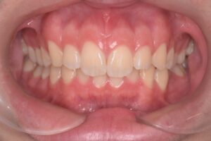
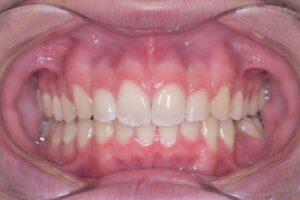
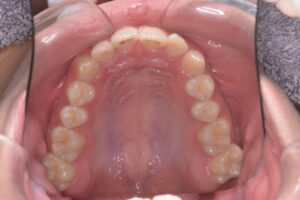
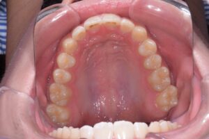
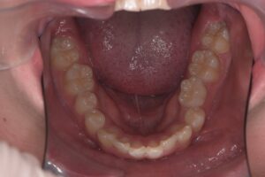
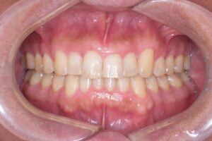
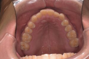
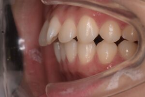
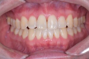
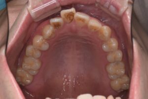
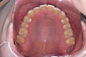
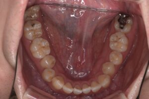
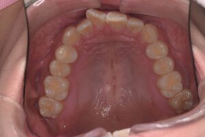
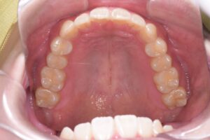
Case11 インビザラインエクスプレス
Before | After |
|---|---|
![]() |
![]() |
![]() |
![]() |
| 治療費 | 165,000円 |
|---|---|
| 年齢・性別 | 30代女性 |
| リスクと副作用 | 痛みや違和感、むし歯、歯肉炎 |
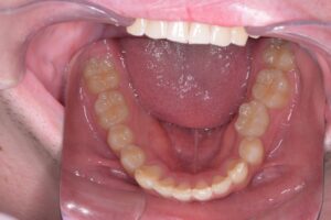
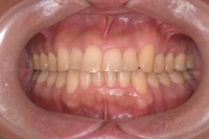
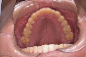
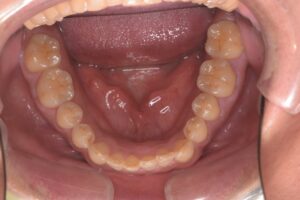
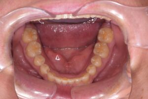
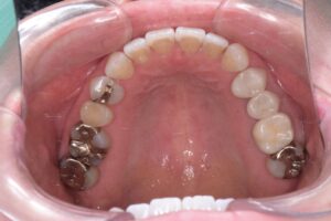
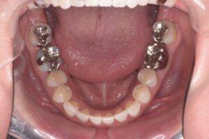
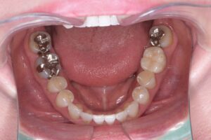
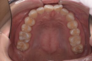
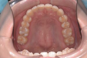
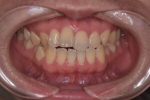
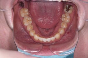
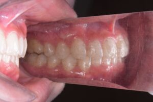
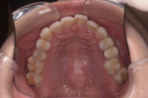
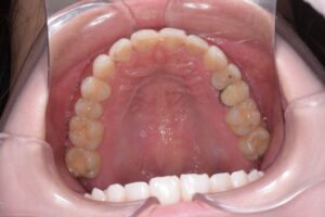
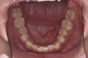
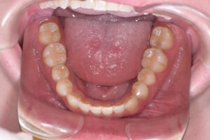
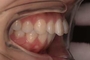
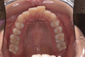
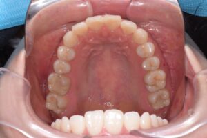
Case12 インビザラインライト
Before | After |
|---|---|
![]() |
![]() |
![]() |
![]() |
![]() |
![]() |
| 治療費 | 396,000円 |
|---|---|
| 年齢・性別 | 40代女性 |
| リスクと副作用 | 痛みや違和感、むし歯、歯肉炎 |
Case13 インビザラインライト
Before | After |
|---|---|
![]() |
![]() |
![]() |
![]() |
![]() |
![]() |
| 治療費 | 396,000円 |
|---|---|
| 年齢・性別 | 20代男性 |
| リスクと副作用 | 痛みや違和感、むし歯、歯肉炎 |
Case14 インビザラインライト
Before | After |
|---|---|
![]() |
![]() |
![]() |
![]() |
![]() |
![]() |
| 治療費 | 396,000円 |
|---|---|
| 年齢・性別 | 40代男性 |
| リスクと副作用 | 痛みや違和感、むし歯、歯肉炎 |
Case15 インビザラインライト
Before | After |
|---|---|
![]() |
![]() |
![]() |
![]() |
![]() |
![]() |
| 治療費 | 396,000円 |
|---|---|
| 年齢・性別 | 40代女性 |
| リスクと副作用 | 痛みや違和感、むし歯、歯肉炎 |
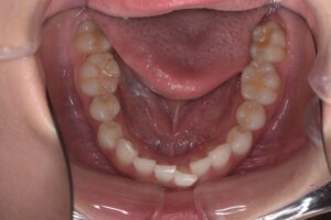
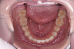
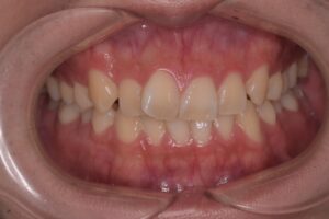
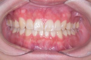
Case16インビザラインライト
Before | After |
|---|---|
![]() |
![]() |
![]() |
![]() |
| 治療費 | 396,000円 |
|---|---|
| 年齢・性別 | 20代女性 |
| リスクと副作用 | 痛みや違和感、むし歯、歯肉炎 |
Case17 インビザラインフル
Before | After |
|---|---|
![]() |
![]() |
![]() |
![]() |
![]() |
![]() |
| 治療費 | 990,000円 |
|---|---|
| 年齢・性別 | 30代男性 |
| リスクと副作用 | 痛みや違和感、むし歯、歯肉炎 |
Case18 インビザラインフル
Before | After |
|---|---|
![]() |
![]() |
![]() |
![]() |
![]() |
![]() |
| 治療費 | 990,000円 |
|---|---|
| 年齢・性別 | 20代女性 |
| リスクと副作用 | 痛みや違和感、むし歯、歯肉炎 |
Case19 インビザラインフル
Before | After |
|---|---|
![]() |
![]() |
![]() |
![]() |
![]() |
![]() |
| 治療費 | 990,000円 |
|---|---|
| 年齢・性別 | 30代男性 |
| リスクと副作用 | 痛みや違和感、むし歯、歯肉炎 |
Case20 インビザラインフル
Before | After |
|---|---|
![]() |
![]() |
![]() |
![]() |
![]() |
![]() |
| 治療費 | 990,000円 |
|---|---|
| 年齢・性別 | 20代女性 |
| リスクと副作用 | 痛みや違和感、むし歯、歯肉炎 |

























































