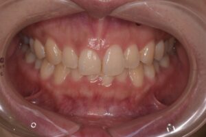
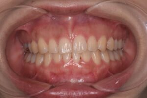
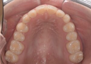
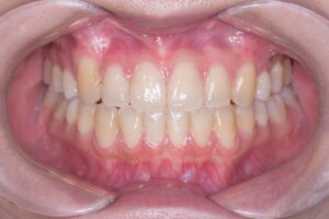
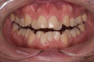
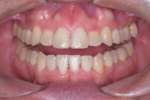
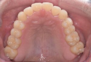
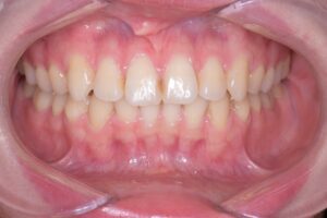
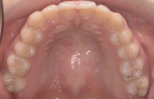
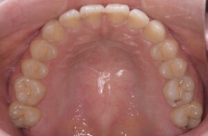
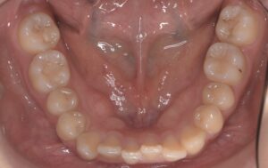
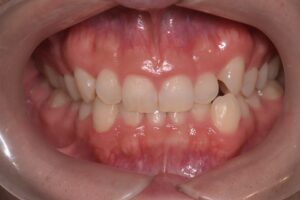
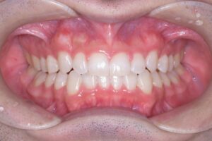
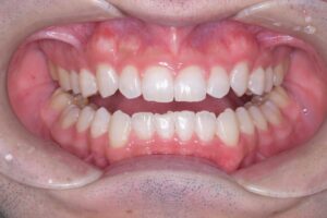
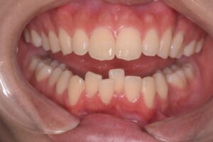
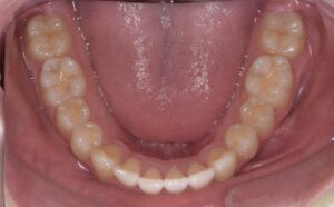
症例写真 インビザライン
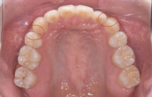
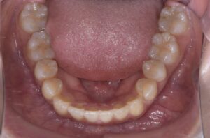
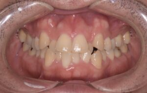
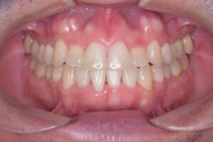
Case01
Before | After |
|---|---|
![]() |
![]() |
![]() |
![]() |
| 治療期間 | 9ヶ月 |
|---|---|
| 治療費 | 693,000円 |
| 年齢・性別 | 30代女性 |
| リスクと副作用 | 痛みや違和感、むし歯、歯肉炎 |
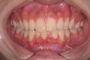
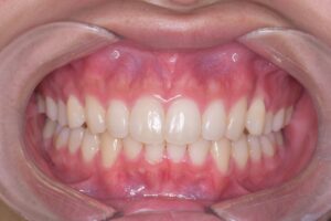
Case02 インビザラインライトプラン
Before | After |
|---|---|
![]() |
![]() |
![]() |
![]() |
| 治療期間 | 5ヶ月 |
|---|---|
| 治療費 | 396,000円 |
| 年齢・性別 | 20代女性 |
| リスクと副作用 | 痛みや違和感、むし歯、歯肉炎 |
Case03 インビザラインライトプラン
Before | After |
|---|---|
![]() |
![]() |
![]() |
![]() |
| 治療期間 | 7ヶ月 |
|---|---|
| 治療費 | 396,000円 |
| 年齢・性別 | 30代女性 |
| リスクと副作用 | 痛みや違和感、むし歯、歯肉炎 |
| 備考 | 矯正後の後戻り |
Case04 インビザライン
Before | After |
|---|---|
![]() |
![]() |
![]() |
![]() |
![]() |
![]() |
| IPR | 3回 |
|---|---|
| 治療期間 | 2年8ヶ月 |
| 治療費 | 990,000円 |
| 年齢・性別 | 50代女性 |
| リスクと副作用 | 痛みや違和感、むし歯、歯肉炎 |
Case05 インビザライン
Before | After |
|---|---|
![]() |
![]() |
![]() |
![]() |
![]() |
![]() |
| 治療費 | 990,000円 |
|---|---|
| 年齢・性別 | 30代女性 |
| リスクと副作用 | 痛みや違和感、むし歯、歯肉炎 |
Case06 インビザライン
Before | After |
|---|---|
![]() |
![]() |
![]() |
![]() |
![]() |
![]() |
| 治療費 | 990,000円 |
|---|---|
| 年齢・性別 | 20代女性 |
| リスクと副作用 | 痛みや違和感、むし歯、歯肉炎 |
| 備考 | 上顎の抜歯矯正の3番と5番の間の隙間について、矯正の後戻りを気にされてご来院されました。 2枚目の画像をご覧ください。 |
Case07 インビザライン
Before | After |
|---|---|
![]() |
![]() |
![]() |
![]() |
![]() |
![]() |
| 治療費 | 990,000円 |
|---|---|
| 年齢・性別 | 40代男性 |
| リスクと副作用 | 痛みや違和感、むし歯、歯肉炎 |
Case08インビザラインモデレート
Before | After |
|---|---|
![]() |
![]() |
![]() |
![]() |
![]() |
![]() |
| 治療費 | 770,000円 |
|---|---|
| 年齢・性別 | 20代女性 |
| リスクと副作用 | 痛みや違和感、むし歯、歯肉炎 |
Case09 インビザラインモデレート
Before | After |
|---|---|
![]() |
![]() |
![]() |
![]() |
| 治療費 | 770,000円 |
|---|---|
| 年齢・性別 | 20代男性 |
| リスクと副作用 | 痛みや違和感、むし歯、歯肉炎 |
Case10 インビザラインモデレート
Before | After |
|---|---|
![]() |
![]() |
![]() |
![]() |
![]() |
![]() |
| 治療費 | 770,000円 |
|---|---|
| 年齢・性別 | 20代男性 |
| リスクと副作用 | 痛みや違和感、むし歯、歯肉炎 |





















































