親知らずは必ず抜かなければいけないのでしょうか。
この記事では、抜歯したほうがよいと判断されやすい7つの特徴を詳しく解説します。
横向きに生えている、すでに虫歯になっている、隣の歯に影響を与えているなど、自身の状態と照らし合わせてチェックしてみてください。
親知らずでお悩みの方は、ぜひ赤坂さくら歯科クリニックへご相談ください。
目次
親知らずを抜歯したほうがよいと判断されやすい特徴7つ

親知らずは全てのケースで必ず抜く必要がある歯ではありません。
しかし、歯科医師との相談を経て抜歯を選択するケースが多いです。
ここでは抜歯が推奨されやすい7つの特徴を詳しく見ていきましょう。
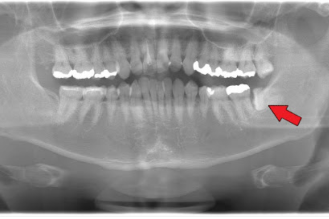
1.横向き・斜めに生えている場合
親知らずが横向きや斜めに生えていると、抜歯を提案されることが多くなります。

親知らずは口の一番奥に位置するため、まっすぐ生えていても歯ブラシが届きにくい場所です。
横向き・斜めの状態だとさらに清掃が困難になり、汚れが溜まりやすいです。
その結果、虫歯や歯周病を発症するリスクが上がってしまいます。
また横向きに生えた親知らずが手前の歯を圧迫し、歯の根を溶かしてしまうケースもあります。
周りの歯の健康を守るためにも、早めの抜歯が望ましいでしょう。
2.すでに虫歯や歯周病になっている
親知らずは清掃が難しいため、虫歯や歯周病になりやすい歯です。
虫歯が深く進んでしまうと、強い痛みや腫れを引き起こすことがあります。
治療しても再び虫歯になってしまう方も少なくありません。
そのまま放置すると、隣接する健康な歯にまで悪影響が及ぶ恐れがあります。
このような状況では、周囲の歯を守るためにも抜歯が選択肢として検討されます。
3.隣の歯に悪影響を与えている
親知らずが水平方向に生えてくることがあります。
この場合、親知らずが隣の歯を押してしまい、痛みが生じる可能性があります。
押された歯は徐々にダメージを受け、将来的に歯並びの乱れや歯の寿命を縮める原因にもなりかねません。
他の健康な歯への影響を考えると、早期の対応が大切になってきます。
4.上下どちらか片方のみ生えている
親知らずは必ずしも4本全てが正常に生えるわけではありません。
上下のバランスが取れていない場合、噛み合わせに問題が生じやすくなります。
例えば下の親知らずがない状態で上だけが生えていると、頭痛・肩こり・顎関節症などの症状を引き起こすなど、ハイリスクです。
また噛み合う相手がいないため、上の歯が過剰に伸びてくることもあります。
このような場合は抜歯を検討することがあります。
5.頬や舌を噛んでしまう
親知らずが斜めに出てきている場合、頬の内側の粘膜や歯ぐきを傷つけてしまうことがあります。
頬や舌を噛んでしまう状態が続くと、繰り返しできた傷がきっかけとなり、トラブルが慢性化しかねません。
また口内炎が治りにくくなったり、食事のたびに痛みを感じたりと、日常生活に支障をきたすケースも見られます。
こうした症状が継続する場合には、抜歯による根本的な解決が必要です。
6.智歯周囲炎を繰り返している
親知らずが中途半端に生えていると、清掃が行き届かない箇所ができてしまいます。
その結果、親知らず周辺に炎症が起こり、智歯周囲炎を発症することがあります。
一度炎症が起きると、症状が落ち着いても細菌感染が残りやすく、歯ぐきの腫れを何度も繰り返すことになりかねません。
智歯周囲炎を繰り返すと、隣の歯を支えている骨が溶けるなど、深刻な悪影響が及ぶ可能性もあります。
7.将来のリスク回避
将来起こりうる抜歯リスクを避けるため、予防的に抜歯を行うケースもあります。
妊娠中や高齢になってからの抜歯は体への負担が大きくなるため、若くて体力があるうちに処置を済ませておくと安全です。
また全身疾患を発症する前の対応や、矯正治療の妨げとなる要因を事前に取り除くことも含まれます。
海外赴任や長期出張の前にトラブルを未然に防ぐための予防処置として選択される方もいらっしゃいます。
親知らずを抜歯するなら赤坂さくら歯科クリニックへ
親知らずの抜歯をお考えの方には、赤坂さくら歯科クリニックがおすすめです。
待ち時間を短縮しスムーズな診療を心がけており、ウェブ予約システムも完備しているため24時間いつでもご予約いただけます。
赤坂さくら歯科クリニックの親知らず抜歯の特長と診療体制
赤坂さくら歯科クリニックでは症状に応じて歯科用CTを使った詳細な検査・診断を実施しています。
さまざまな状態の親知らずに対して適切な抜歯治療が可能で、治療の必要性や抜歯のタイミングをわかりやすく説明します。
また、診察は朝7時半から開始しているため、お仕事前に来院することができるのも特徴です。
抜歯前には注意事項をきちんとお伝えすることに加えて、女性スタッフ・女性医師による優しくきめ細かな対応により、安心して受診していただける環境を整えています。
専門医による安全で負担の少ない親知らず抜歯
難しい親知らずの抜歯は、外科を専門とする口腔外科の認定医が担当します。
赤坂さくら歯科クリニックの医師は勉強会に多数参加し、多くの治療実績を持つ専門性の高いスタッフが揃っているのが特徴です。
各分野の専門医が在籍しており、全ての治療を高水準で提供できる体制を整えています。
また、専門医にそれぞれの治療を分担することで「早く・正確で・痛みが少ない」治療を実現しています。
加えて抜歯時には、表面麻酔をすることで痛みをできるだけ抑え、歯ぐきを開いて骨や歯の状態を確認しながら安全に抜歯を進めることが可能です。
抜歯自体はスピーディーに完了するため患者様の負担が少なく、痛みや不安をほとんど感じずに治療を終えられる方が多くいらっしゃいます。
もし、さらに怖がりな方は眠りながら抜歯を受けることができる静脈麻酔(リラックス麻酔)も可能です。
まとめ

親知らずは全てのケースで抜歯が必要なわけではありませんが、今回紹介した7つの特徴に当てはまる場合は抜歯を検討する必要があります。
放置すると痛みや腫れだけでなく、周りの健康な歯にまで影響が及ぶ可能性があるため注意が必要です。
赤坂さくら歯科クリニックでは、歯科用CTによる精密な検査と、外科専門の歯科医師による安全で負担の少ない抜歯治療を行っています。
親知らずに関するお悩みや不安がある方は、ぜひお気軽にご相談ください。

