矯正歯科を選ぶとき、「認定医」や「専門医」という資格を目にして、どちらを選べばいいのか迷ったことはありませんか。
それぞれの資格には明確な違いがありますが、実はその違いを知るだけでは、本当に信頼できる矯正歯科は見つけられません。
設備の充実度、治療実績、通院のしやすさ、費用の透明性など、チェックすべきポイントは他にもたくさんあります。
この記事では、認定医・専門医の違いを正しく理解したうえで、安心して矯正治療を受けるための5つの選び方を紹介します。
矯正歯科選びでお悩みの方は、各分野の専門医が在籍し、無料相談を実施している赤坂さくら歯科クリニックへぜひご相談ください。
目次
矯正歯科の「認定医」「専門医」の違いを制度で正しく理解する

矯正歯科を選ぶ際、「認定医」や「専門医」という資格を目にすることがあるでしょう。
これらの資格制度の意味を正しく理解することが、歯科医院選びの第一歩となります。
ここでは、日本矯正歯科学会が定める資格を詳しく見ていきましょう。
日本矯正歯科学会の認定医とは
認定医とは、日本矯正歯科学会が認定する資格で、一定の基準をクリアした歯科医師に与えられます。
学会が承認した大学病院や矯正歯科医療機関で5年以上の実務経験を積み、学会発表や認定試験に合格することが必要です。
矯正治療の確かな知識・技術・経験を持つことを学会が認めた証明であり、患者様に質の高い治療を提供する役割を担っています。
専門医(臨床指導医)は認定医とどう違う?
日本矯正歯科学会 臨床指導医(旧専門医)は、認定医よりもさらに高度な資格です。
認定医の取得が必須条件となり、12年以上の学会正会員歴や、学会が認めた症例の審査に合格する必要があります。
矯正歯科医を教育・指導する立場に必要な資格で、認定医を養成したり日本の矯正歯科医療での指導的役割を果たしたりするため、より専門性の高い資格です。
認定医・専門医の違い以外で矯正歯科を選ぶ5つのポイント
資格だけでは判断しきれないのが矯正歯科選びの難しさです。
実際に通院する医院を決める際には、設備や治療体制など、さまざまな要素を総合的に見極める必要があります。
1.セファログラム検査やCT撮影を行っているか
精密な診断に欠かせないのが、セファログラムレントゲン(頭部X線規格写真)です。
歯だけでなく顎の骨や頭蓋骨の位置関係まで詳細に把握できます。
近年、口腔内写真だけでマウスピース矯正を始めて失敗するトラブルも増えています。
セファログラムでは口腔内だけでなく、頭蓋骨など頭頸部全体と歯列の位置関係を数値で把握し、より綿密に分析・治療計画を立てることができます。
ワイヤー矯正でもマウスピース矯正でも、セファログラム撮影と分析を重視する歯科医院を選びましょう。
CT検査があれば、骨や歯根の状態を立体的に確認でき、より正確な診断が可能になります。
2次元的に撮影する平面のパノラマ写真では確認できない骨の厚みや、埋伏歯の有無・根尖病巣の状態などを確認できるため、歯科矯正治療においてもCT検査は必要不可欠になっています。

↑モリタ社の最新CSTレントゲン(X800)
2.症例数と実績・評判を確認する
豊富な治療経験は医院選びの重要な判断材料です。
クリニック全体ではなく、担当する歯科医師個人の実績を確認しましょう。
ホームページやSNSで治療例を公開している医院なら、自分と似たケースを事前にチェックすることができます。
口コミやレビューから患者様の声を調べることで、対応やコミュニケーションの雰囲気も把握できますが、あくまで参考程度にとどめ、実際にカウンセリングを受けて自分で判断することが重要です。
3.矯正歯科医が常勤しているか
矯正治療は長期にわたるため、通院のしやすさは想像以上に重要です。
外部の矯正医が月1回だけ来院する体制では、予約調整が難しくなりがちです。
通院間隔が空くと治療期間が延びる可能性があり、トラブル時の対応も遅れてしまいます。
矯正歯科医が常勤していて診療日が月の半分以上ある医院を選べば、スケジュール調整がしやすく、万が一の際も迅速に対応してもらえるでしょう。
4.複数の治療法を提案できるか
矯正装置にはさまざまな種類があり、最適な方法は一人一人の歯並びによって異なります。
人気のマウスピース矯正も万能ではなく、歯のねじれが強いケースや抜歯を伴う大きな移動が必要な場合には不向きです。
複数の治療方法を取り扱い、それぞれのメリット・デメリットを説明してくれる医院を選びましょう。
特定の装置だけを勧める歯科医院は、他の方法に関する知識や技術が不足している可能性があります。
5.費用体系と説明の透明性
矯正治療は装置の種類によって費用や治療期間が大きく変わります。
信頼できる歯科医院は、カウンセリング段階で治療期間の目安・適した装置・必要な費用総額を明確に提示してくれます。
一般的な相場は、表側矯正75〜115万円、裏側矯正90〜130万円、マウスピース矯正45〜130万円程度ですが、基本料金のみです。
検査費・調整費・保定装置費用などが別途かかることがあるため、料金体系と追加費用の有無を確認しておきましょう。
矯正歯科で認定医・専門医の違いだけでは判断できないと感じたら赤坂さくら歯科クリニックへ
認定医・専門医の資格だけでなく、実際の治療体制や対応を重視したい方には、赤坂さくら歯科クリニックがおすすめです。
勉強会に多数出席し豊富な症例経験を持つ専門スタッフや、各分野の専門医による最高水準の治療体制、女性スタッフ・女性歯科医師による丁寧できめ細かな対応が揃っています。
赤坂さくら歯科クリニックの矯正歯科|種類と料金
赤坂さくら歯科クリニックでは、初回相談・カウンセリングが無料で、認定医による歯列矯正を提供しています。
CTなどの先進機器を用いた精密診断により、最適な治療計画を立案することが可能です。
治療方法は、小児矯正(66,000〜330,000円)、ワイヤー矯正(全体990,000〜1,320,000円)、インビザライン(178,000〜1,045,000円)、独自開発のサクライナー(176,000〜440,000円)など多岐にわたります。
抜歯や歯を削る処置は極力避けた方法を優先し、ワイヤーとマウスピースの混合治療にも対応しているため、今ある歯を守りながら理想の口元を実現できるでしょう。
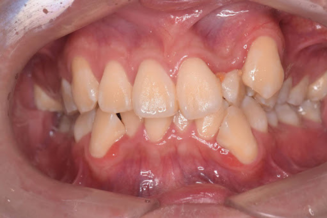
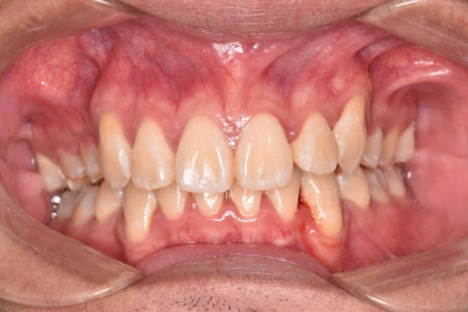
重度の叢生をワイヤーとマウスピースのコンビネーション治療で綺麗にした赤坂さくら歯科クリニックの実際の症例写真です。
術前の写真はこちらです。

術後の写真はこちらです。

他院の検査データや見積もりの持参も受け付けており、ほぼ全ての症例に対応できる体制が整っています。
まとめ

矯正歯科を選ぶ際は、認定医や専門医などの資格の違いを理解することが、希望の歯並びを手に入れるための第一歩です。
しかし、それだけでは十分ではありません。
セファログラムやCTなどの検査設備、担当医師の症例実績、常勤体制、複数の治療法の提案、費用の透明性など、総合的に判断することがとても大切です。
赤坂さくら歯科クリニックでは、認定医による質の高い矯正治療をはじめ、各分野の専門医による幅広い対応、先進機器を用いた精密診断、豊富な治療オプションをご用意しています。
初回相談は無料ですので、矯正歯科選びに迷っている方は、ぜひ一度ご相談ください。

