歯並びを整えたいけれど、矯正装置が目立つのは避けたいとお考えではありませんか。
透明なマウスピースを使用するインビザライン矯正なら、周囲に気づかれにくく治療できます。
しかし、東京都内には数多くのクリニックがあり、どこを選べば良いのか迷ってしまう方も少なくありません。
この記事では、評判の良いクリニックを見極めるための4つの基準を詳しく解説します。
インビザライン矯正なら赤坂さくら歯科クリニックへご相談ください。
目次
インビザライン矯正とは

インビザライン矯正は、透明なマウスピース型の装置を段階的に交換しながら歯を動かしていく治療方法です。
従来のワイヤー矯正と異なり、装置が目立ちにくく、周囲に気づかれにくいのが大きな特徴です。
治療期間は部分矯正であれば最短3カ月程度から対応できます。
また、マウスピースは取り外しができるため、食事や歯磨きの際に不便を感じることがありません。
虫歯のリスクを抑えやすく、お口の衛生管理がしやすい点も魅力です。
特に、矯正装置の見た目が気になる方、金属アレルギーをお持ちの方、詰め物や被せ物が多い方に適した治療法です。
接触の多いスポーツをされる方にとっても、口腔内を傷つけるリスクが少ないため安心して取り組めます。
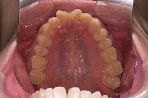
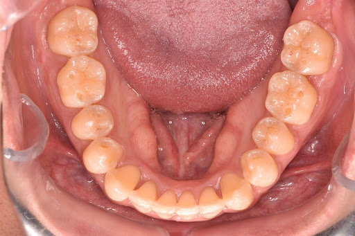
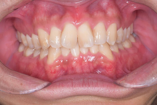
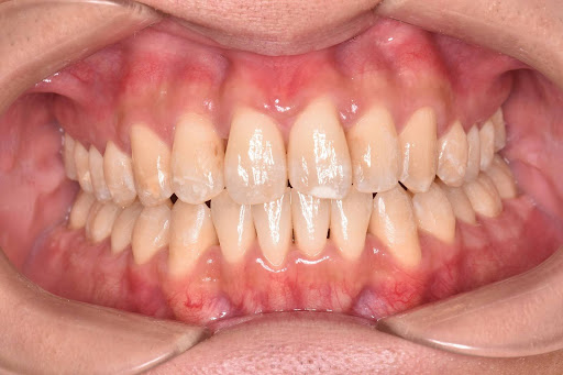
【症例写真】
ガタつきのある歯並びも、マウスピース矯正でここまできれいに整えることが可能です。
<Before>
<After>
東京都で評判の良いインビザライン矯正クリニックを見極める4つの基準
東京都内には数多くのインビザライン矯正を提供するクリニックがあり、どこを選ぶべきか迷ってしまう方も少なくありません。
後悔しないクリニック選びのためには、いくつかの重要なポイントを押さえておく必要があります。
ここでは、満足度の高い治療を受けるために確認すべき4つの基準を紹介します。
料金体系が分かりやすく満足度が高い
インビザライン矯正の費用はクリニックによって大きく異なるため、総額がはっきりと提示されているかが重要なポイントです。
基本料金だけでなく、診察費や調整費、抜歯が必要な場合の費用、治療後のリテーナー料金などが含まれているかを確認しましょう。
支払い方法も、都度払いや院内分割払い、医療ローンなど選択肢があるかを事前にチェックすることが大切です。
ホームページに詳細が記載されていない場合は、カウンセリングの際に納得できるまで質問してください。
契約前に最終的な総額を必ず確認し、予期せぬ出費を防ぐことが満足度の高い治療につながります。
治療中のフォロー体制に定評がある
インビザライン矯正では、透明なマウスピースを毎日装着して歯並びを整えていくため、治療期間中のサポート体制が重要になります。
「正しく装着できているか」「計画通りに歯が動いているか」などの不安や疑問が生じることも少なくありません。
治療をスタートする前に、どのようなサポートが受けられるのかを確認しておきましょう。
オンライン相談に対応しているクリニックや、歯科医師による定期的なモニタリングがあるクリニックなら、忙しい方でも安心して治療を継続しやすくなります。
フォロー体制が充実しているかどうかは、治療の成功を左右する大切な要素です。
専門資格を持つ医師が在籍している
治療の質を重視するなら、専門資格を持つ医師が在籍しているかを確認することをおすすめします。
日本矯正歯科学会認定の「認定医」や「臨床指導医」の資格を持つ医師は、高度な知識と技術を有していると判断できるでしょう。
また、インビザライン社が認定する「プロバイダーランク」も参考になります。
これは年間の治療実績に応じて付与されるランクで、ダイヤモンドやブラックダイヤモンド、レッドダイヤモンドなどのランクがあります。
経験豊富な医師のもとで治療を受けることで、より安心して治療に臨めるはずです。
複数クリニックを比較して判断する
適切なクリニックを見つけるには、少なくとも2カ所以上で診察やカウンセリングを受けて比較検討することが不可欠です。
各クリニックで治療の進め方、費用設定、サポート内容には違いがあり、1つの情報だけで判断するのはリスクを伴います。
ただし、初診時の精密検査やシミュレーション作成に費用が発生するケースもあるため、事前に確認しておくと安心です。
複数のクリニックで話を聞くことで、自身に合った治療プランや信頼できる医師を見つけやすくなるでしょう。
時間はかかりますが、納得のいく治療を受けるための大切なステップです。
東京都でインビザライン矯正をするなら赤坂さくら歯科クリニックへ
赤坂さくら歯科クリニックでは、審美歯科を専門とする院長が矯正担当医と連携し、詳細な診断と治療プランを作成しています。
各分野のスペシャリストが在籍しており、全ての治療を最高水準でご提供できる体制が整っているため、幅広いお悩みに対応可能です。
矯正治療とセラミック治療を組み合わせることもでき、他院で対応が難しいとされた症例もご相談ください。
赤坂さくら歯科クリニックの医師は勉強会に積極的に参加し、豊富な症例経験を持つ専門性の高いスタッフが揃っています。
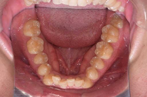
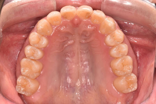
【症例写真】豊富な経験に基づき、歯の重なりやアーチの形状を美しく改善します。
Before
After
また、できる限り歯を削らず抜かない方法をご提案し、患者様一人一人に適切な治療法を考えます。
型取りにはiTeroという3Dスキャナーを使用しており、従来の粘土状の材料を使う方法と比べて負担が少なく、正確な歯型を採取できるのが特徴です。
女性スタッフ・女性医師が優しくきめ細やかな治療とご対応を行っており、安心してご受診いただけます。
予約はウェブシステムも完備しており、24時間いつでもご予約が可能です。
待ち時間を最小限に抑え、患者様のお時間を大切にしたスムーズな診療を心がけています。
まとめ

インビザライン矯正は透明なマウスピースを使用するため目立ちにくく、周囲に気づかれずに歯並びを整えたい方に適切な治療法です。
東京都内には多くのクリニックがありますが、料金体系の明確さ、治療中のフォロー体制、専門資格を持つ医師の在籍、そして複数のクリニックを比較検討することが、満足度の高い治療を受けるための重要なポイントになります。
赤坂さくら歯科クリニックでは、各分野の専門医が連携し、豊富な症例経験をもとに患者様一人一人に適切な治療プランをご提案しています。
女性スタッフ・女性医師による丁寧な対応と、予約の取りやすさ、待ち時間の少なさも魅力です。
インビザライン矯正をお考えの方は、ぜひ一度ご相談ください。

