鏡を見るたびに歯並びが気になり、矯正したいと思いながらも治療方法で迷っていませんか。
インビザラインは目立ちにくく、ライフスタイルに配慮しながら治療を進められる歯科矯正治療法です。
本記事では、インビザライン症例をもとに、治療できる歯並びや向いている人の特徴をわかりやすく解説します。
インビザライン症例を見て、治療を受けたいと検討されている方は、赤坂さくら歯科クリニックへお気軽にご相談ください。
目次
インビザライン矯正とは?

インビザライン矯正とは、透明で目立たないマウスピース型の矯正装置を用いる治療法です。
取り外し可能な装置を一定期間ごとに交換し、歯を少しずつ計画的に動かします。
金属のブラケットやワイヤーを使わないため見た目が自然で、日常生活への影響も抑えることが可能です。
実際のインビザライン症例では、周囲に気づかれずに歯並びの改善を目指せる点が評価されています。
インビザラインで治療できる症例一覧
インビザラインは、歯並びの状態に応じてさまざまな症例に対応できる矯正方法です。
軽度から重度まで幅広いインビザライン症例があり、症状や噛み合わせによって治療方針は異なります。
ここでは対応できる代表的な症例を整理して紹介していきます。
以下から順に見ていきましょう。
軽度の症例
軽度の歯並びの乱れは、インビザラインが得意とする分野です。
歯が重なって生える叢生(そうせい)は、軽度であれば歯を大きく動かす必要がなく、比較的スムーズに治療が進みます。
歯と歯の間に隙間ができる空隙歯列やいわゆるすきっ歯も対象です。
実際のインビザライン症例では、見た目の改善だけでなく清掃性の向上も期待できます。
中等度の症例
中等度の歯並びの乱れも、症例によってはインビザラインで治療が可能です。
上の前歯が下の前歯を深く覆う過蓋咬合(かがいこうごう)や上下の噛み合わせが逆になる交叉咬合(こうさこうごう)にも対応できます。
部分的な交叉咬合が含まれるインビザライン症例も多く、状態に応じて治療期間がやや長くなることがありますが、噛み合わせの改善を目指せます。
重度の症例
重度の歯並びの不整は、これまでワイヤー矯正が選ばれることが多くありました。
しかし近年はインビザラインの技術が進歩し、下の前歯が前に出る反対咬合(はんたいこうごう)や前歯が噛み合わない開咬(かいこう)なども治療可能なインビザライン症例が増えています。
上記のような歯並びの状態から治療する際は、精密な診断が重要です。
また顎骨に大きな問題がある場合には、外科手術を併用するケースもあります。
インビザラインが向いている人の特徴
インビザラインが向いている人は、抜歯なしで歯並びを整えたい方です。
治療前にシミュレーションで仕上がりを確認でき、計画的に歯を動かせます。
歯並びの乱れが比較的軽度であれば、多くのインビザライン症例で対応可能です。
また一日の装着時間である20〜22時間を守り、自己管理として計画的なマウスピース交換や洗浄ケアを継続できることも重要な条件になります。
赤坂さくら歯科クリニックのインビザライン治療
赤坂さくら歯科クリニックでは、患者様の時間を大切に考え、待ち時間ができるだけ少なくなるようスムーズな診療体制を整えています。
ウェブ予約システムを導入しているため、24時間いつでも予約が取りやすく、忙しい方でも通院しやすい環境です。
女性スタッフや女性医師による丁寧な対応も特徴で、きめ細かな配慮のもと安心して治療を受けられます。
さらに医師は勉強会に積極的に参加し、豊富な症例経験を積んだ専門性の高いチームが在籍しています。
各分野の専門医が連携し、幅広いお悩みに高い水準で対応しているクリニックです。
赤坂さくら歯科クリニックのインビザライン治療の特長を、以下より見ていきましょう。
幅広い症例に対応可能
赤坂さくら歯科クリニックでは、審美歯科と矯正歯科の視点を融合し、幅広いインビザライン症例に対応可能です。
院長はマウスピース矯正のエキスパートとして精密な診断を行い、必要に応じてセラミックを用いた混合治療や非抜歯治療も提案します。
他院で難しいとされた歯並びでも相談でき、痛みが少ない矯正治療を目指しています。
確かな技術力を基盤に、各分野の専門医が在籍する体制で、一人一人に適した方法を提示することが可能です。
無料カウンセリングも実施しているため、お気軽にご相談いただけます。
iTeroによる精密な口腔内スキャン
赤坂さくら歯科クリニックでは、iTeroという3Dスキャナーを用いてマウスピースの型取りを行います。
従来の粘土状の材料を使う方法と比べ、嘔吐反射などの不快感が少なく、患者様の負担軽減につながります。
短時間で正確な歯形を取得できるため、精密治療計画の立案が可能です。
インビザライン症例も、仕上がりを見据えた矯正を進められます。
インビザラインメニューと料金
赤坂さくら歯科クリニックでは、歯並びや目的に応じたインビザラインメニューを用意しています。
治療期間や適応症例が異なるため、インビザライン症例に合わせて選択可能です。
【インビザライン治療メニュー】
・エクスプレスパッケージ(軽度矯正)
治療期間は約3カ月で、軽微な部分矯正、矯正後の後戻り、審美的治療を目的とする方に適しています。
・インビザライン ライト(中度矯正)
治療期間は約7カ月で、軽度の歯並びの乱れや部分矯正に対応可能です。
後戻りの改善やセラミック治療前の前処置でも活用されます。
・インビザライン フル(通常矯正)
治療期間は1年から2年ほどで、幅広い症例に対応可能です。
歯並びをしっかり整えたい方に推奨されます。
【料金の目安】
| 検査料金 | 55,000円 |
| 軽度矯正 | 両顎264,000円
片顎178,000円 |
| 部分矯正 | 418,000円 |
| 通常矯正 | 770,000円〜1,045,000円 |
症状に応じた提案により、無理のない矯正治療が可能です。
症例写真について
以下は20代女性のインビザライン症例です。
過去に上顎の抜歯矯正を行った後、3番と5番の間に隙間が生じ、後戻りを懸念して来院されました。
インビザラインで歯列を整え、自然な歯並びを目指しました。
治療費は990,000円です。
治療中は痛みや違和感、むし歯、歯肉炎などのリスクが伴うため、十分な説明と管理を行っています。
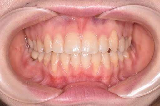
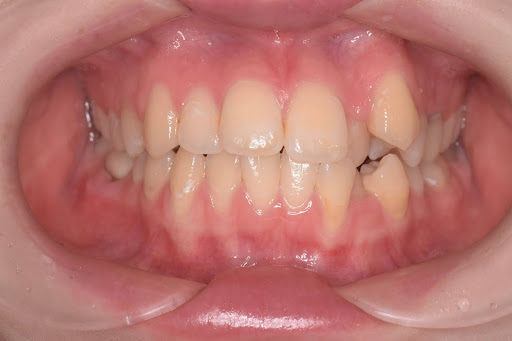
治療をはじめる前の口腔内です。
写真を見ると、上の前歯が一直線に並ばず、数本が前後にずれて重なっているのがわかります。
とくに目立つのは、犬歯(糸切り歯)が外に飛び出し、隣の歯と高さがそろっていない点です。
かみ合わせに注目すると、上の前歯が下の前歯をほぼ覆い隠すほど深くかぶさっており、下の歯がほとんど見えていません。
これは「かみ合わせが深い状態(過蓋咬合)」で、長期的には顎や歯への負担につながることがあります。
上下の歯の中心線(正中)もわずかにずれており、口を閉じたときのバランスにも影響が出ている状態です。
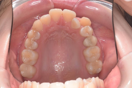
上あごを上から見た写真です。
歯列のアーチ(弧を描くならび)が全体的に細く、左右のバランスがとれていないことがわかります。
前歯から犬歯にかけて、歯がそれぞれ内側・外側を向くようにねじれており(捻転)、隣の歯との間にすき間ができている部分と、逆に強く接触しすぎている部分が混在しています。
この状態では、歯ブラシの毛先がすき間に届きにくく、磨き残しが出やすいため、むし歯や歯肉炎が起きやすい環境になっています。
下あごを下から見た写真です。
下の前歯が左右から押し合うように重なり、一本一本がそれぞれ異なる方向を向いているのが確認できます。
特に中央の前歯付近が密集しており、歯列全体の連続性が乱れています。
奥歯(臼歯)の部分は比較的安定していますが、前歯から小臼歯にかけての乱れが目立ちます。
歯と歯が重なっている部分は歯間ブラシやフロスが通りにくく、日常的なケアにも支障が出やすい状態です。
術後の写真はこちらです。
インビザライン治療を終えた後の口腔内です。
治療前に前後にずれて重なっていた上下の前歯が、きれいに一列に並びました。
外に飛び出していた犬歯も適切な位置に収まり、隣り合う歯と高さがそろっています。
上下の歯の中心線も一致しており、口を大きく開けたときに左右のバランスが取れた、整った歯並びが確認できます。
かみ合わせも改善され、上の前歯と下の前歯が均等に接触しています。
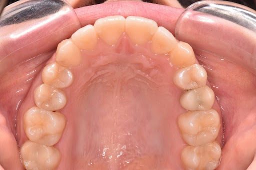
治療後の上あごを上から見た写真です。
治療前は細くゆがんでいたアーチが、なだらかで均整のとれたU字型に整いました。
前歯から奥歯にかけて、各歯が同じ方向を向いてきれいに並んでおり、捻転(ねじれ)が解消されているのがわかります。
歯と歯の間のすき間も均等になり、歯ブラシや歯間ブラシが届きやすい状態になっています。
清掃性が大幅に向上したことで、治療後のお口の健康維持もしやすくなっています。
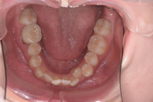
治療後の下あごを下から見た写真です。
治療前に密集して重なり合っていた下の前歯がすっきりと一列に整い、前歯から奥歯まで滑らかなカーブを描いています。
左右の対称性も改善され、全体的にバランスのとれた歯列が完成しています。
歯と歯の間にも適度なすき間が確保されており、毎日のブラッシングがしやすくなりました。
まとめ

インビザラインは、軽度から重度まで幅広い歯並びに対応できる矯正方法です。
インビザラインの豊富な症例に基づいた適切な治療法選びや、ライフスタイルに合わせた治療計画により、見た目と噛み合わせの改善が期待できます。
インビザライン症例を見て、治療を受けたいと検討されている方は、赤坂さくら歯科クリニックへお気軽にご相談ください。

