「精密根管治療を受けたいけれど費用が高い。保険適用で受けられる?」
「検索したら結果がいくつも出てきた。どこを選べばいいの?」
根管治療は精度が結果を左右するため、できるだけ精密な治療を受けたいと考える方も少なくありません。
しかし費用が高く、「保険適用で受けられるのか」と悩む方も多いでしょう。
この記事では、東京で精密根管治療を保険適用で受けられるクリニックの探し方や、確認しておきたいポイントを解説します。
保険診療で精度の高い根管治療を提供しているクリニックの見極め方がわかる内容です。
赤坂さくら歯科クリニックでも、精度を重視した精密根管治療を行っています。
後悔しないクリニック選びの参考にしてください。
目次
東京で精密根管治療は保険適用で受けられるのか?

精密根管治療は、制度上、保険適用を受けられない治療です。
精密根管治療は正式な診療名ではなく、根管治療を丁寧に行う治療の呼称を指します。
保険診療では工程や設備に制限があるため、こうした治療は自費診療として提供されることが一般的です。
一方で、保険診療の根管治療でも、限られた条件の中で精度を重視した処置を行い「精密根管治療」と表現しているクリニックも見られます。
ただし、精密根管治療はクリニックごとに治療内容や対応範囲が異なり、表記があっても実際は保険診療の範囲にとどまる場合があります。
そのため、「精密根管治療」という名称だけで保険適用の可否を判断するのではなく、実際の治療内容や、保険診療・自費診療の区分を確認することが重要です。
こちらで保険適用の根管治療について解説しています。
併せてご覧ください。
東京で精密根管治療を保険適用で受ける際の費用
精密根管治療は保険適用外の治療です。
そのため、保険診療で受けられるのは一般的な根管治療となります。
保険診療の根管治療の場合、自己負担は3割負担が一般的で、歯1本あたりおおよそ3,000円〜1万円程度が目安です。
ただし、保険診療では使用できる材料や工程に制限があります。
クリニックによっては、マイクロスコープやラバーダム防湿、高機能な材料などを用いた処置を保険適用外として提供し、追加費用がかかることがあります。
こうして保険診療の根管治療とは別にマイクロスコープやラバーダムやMTAセメントなどの自由診療の材料の費用を自費で加算して徴収すると法律で禁止されている「混合診療」となってしまうので注意が必要になります。
このように、「精密根管治療」と表記されていても、実際の費用は治療内容や使用する材料・設備によって異なるのです。
保険診療の範囲でどこまで対応できるのか、追加費用が発生するのかを、事前に確認することが大切です。
東京で精密根管治療を保険適用で行っているクリニックを探す際の確認ポイント
「精密根管治療」と記載されていても、実際には保険診療の範囲内の一般的な根管治療にとどまる場合もあります。
東京で保険適用の範囲で精度を重視した根管治療を受けたい場合は、次のポイントを確認しましょう。
・根管治療の症例数や治療実績が公式サイトで具体的に紹介されているか
・マイクロスコープや歯科用CTなど、根管内部を確認できる設備について説明があるか
・ラバーダム防湿や洗浄方法など、感染対策の内容が明記されているか
根管治療は、直径1mm以下の根管内部を処置する難易度の高い治療です。
保険診療では使用できる材料や工程に制限があるため、その範囲内で確実に感染を取り除くには、医師の経験と技術が欠かせません。
また、保険適用の根管治療では「精密根管治療」と記載されていても、治療内容はクリニックによって異なります。
目視や簡易的な拡大鏡による処置にとどまる場合や、感染対策が十分でないケースもあります。
そのため、保険適用の範囲でも、マイクロスコープや歯科用CT、ラバーダム防湿などを用いた処置が行われているかを確認することが大切です。
東京で精度を重視した根管治療を行う赤坂さくら歯科クリニック
保険診療の範囲内でも根管治療は受けられますが、使用できる設備や工程には制限があります。
そのため、治療の精度を重視したい方は、自費診療も含めて検討することが大切です。
赤坂さくら歯科クリニックでは、精度を重視した根管治療に力を入れ、自費診療による精密根管治療を提供しています。
「精密機器を用いた詳しい検査と処置」
歯科用CTやマイクロスコープを用いて、肉眼では確認できない根管内部まで細かく確認しながら治療を行います。
感染部位を正確に把握しながら処置するため、菌の取り残しを防ぎやすくなります。
「感染対策を重視した治療環境」
ラバーダム防湿によって唾液や細菌の侵入を防ぎ、ニッケルチタンファイルや洗浄機器を用いて根管内を丁寧に清掃します。
治療中の感染を防ぎ再発のリスクを抑えます。
「根管治療に力を入れてきた歯科医師が担当」
根管治療に注力してきた歯科医師が診療を担当します。
さまざまな症例に対応してきた経験をもとに歯の状態に合わせた処置を行うことで治療後のトラブルを防ぎます。
また、デンタルローンの利用による分割払いにも対応しています。
デンタルローンを利用した場合、月々1〜2万などの支払いで無理なく完済される方が多いです。
精度が高い治療を受けたい方は、ぜひご相談ください。
赤坂さくら歯科クリニックの根管治療はこちらをご覧ください。
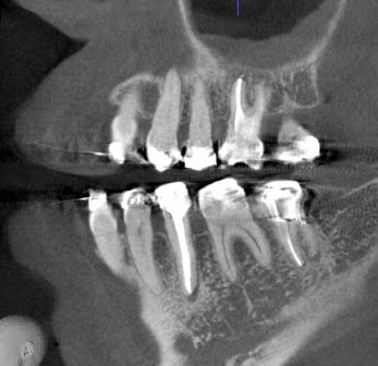
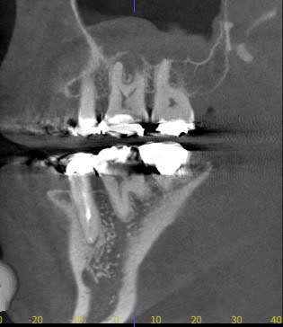
症例写真について
では、赤坂さくら歯科クリニックでの写真を見てみましょう。
以下の写真で治療前の写真ですが、上顎の6番の大きな根尖病変が上顎洞にまで波及しています。
上顎洞の白い不透過像(白く曇った像)も大きく見えています。
そして、治療後3ヶ月、根尖病変がなくなり、根尖の骨が治癒してきています。
上顎洞の白い曇った像も小さくなってきています。
精密根管治療は赤坂さくら歯科クリニックにご相談ください
精密根管治療は、制度上、保険適用される治療ではありません。
保険診療でも根管治療は受けられますが、治療内容や精度には限界があります。
そのため、できるだけ再発リスクを抑え、精度を重視した治療を受けたい場合は、自費診療も含めて検討することが大切です。
赤坂さくら歯科クリニックでは、精度を重視した根管治療についてご相談を受け付けています。
治療内容や費用について不安がある方は、お気軽にご相談ください。


