「歯の見た目が気になる…。」
「なるべく削らずに、自然な白い歯にしたい。」
「赤坂には歯科がたくさんあるけど、どこを選べば安心なの?」
多くの方が「歯の色や形を自然に整えたい」と考えています。
しかし、ホワイトニングでは詰め物や被せ物の色が変わらず、矯正は費用や期間の負担が大きいため悩む方も少なくありません。
そのようなときに選択肢となるのがセラミック治療です。
セラミックの詰め物や被せ物は、天然歯に近い見た目と耐久性を兼ね備え、審美性と機能性を両立できる方法として注目されています。
ただし、赤坂には多くの歯科クリニックがあり「どこを選ぶべきか」「自分に合った治療法はどれか」と迷う方も少なくありません。
この記事では、クリニック選びのポイントと赤坂さくら歯科クリニックの特徴をわかりやすく解説します。
セラミック治療で歯を美しく整えたい方は、ぜひ参考にしてください。
目次
赤坂でセラミック治療を受ける歯科クリニックの選び方

赤坂にはセラミック治療を取り扱う歯科クリニックが数多くあります。
ここでは、クリニック選びで押さえておきたいポイントを紹介します。
複数のセラミック治療を取り扱っている
赤坂でセラミック治療を受けるなら、複数のセラミック治療を取り扱っているクリニックがおすすめです。
赤坂で受けられるセラミック治療には、おもに以下のような方法があります。
「セラミッククラウン」
歯を全体的に覆う被せ物です。
強度があり奥歯にも適しています。
清潔感のある自然な白さで、経年による着色や変色が少なく、比較的長く使いやすいのが特徴です。
「セラミックインレー」
歯を部分的に削って詰め物をする方法です。
クラウンより削る量が少なく、奥歯の小さな虫歯や銀歯の置き換えに適しています。
周囲の歯とのなじみがよく、自然な見た目に仕上がります。
「ラミネートベニア」
歯の表面に薄いセラミックの層を貼り付けて見た目を整える治療法です。
前歯の色や形、隙間の改善に向いています。
歯をほとんど削らないため、天然の歯を保ちやすいのが特徴です。
治療法によって見た目や耐久性、費用が異なります。
複数の治療法を取り扱っているクリニックなら、自分の希望に合った最適な方法を選択できます。
ただし、治療法が複数あっても自分で判断するのは難しいです。
歯をなるべく削りたくない、長く使いたい、金属を使いたくない、など、希望を整理しておくとよいでしょう。
希望を丁寧に聞き取り、最適な方法を提案してくれるかどうかも重要です。
治療前に口の中をしっかり検査してくれる
赤坂でセラミック治療を受けるなら、治療前に口の中をしっかり検査してくれるかどうかも大切です。
見えにくい場所に虫歯があると、気づかないままセラミックの下で進行し再治療につながります。
また、歯周病で歯茎が下がったり腫れたりして境目にすき間が生じ、セラミックが浮きやすくなります。
セラミック治療でトラブルを防ぐには、見た目だけでなく口全体の状態を正しく把握することが欠かせません。
レントゲンや歯科用CTで虫歯や歯周病、噛み合わせまで検査し、治療計画を立ててくれるクリニックを選びましょう。
医師の技術力と実績がある
赤坂でセラミック治療を受けるなら、医師の技術力が高いか、実績があるかを確認してください。
セラミック治療は、かみ合わせや型取りなど細かい調整が必要です。
調整が不十分だと見た目が不自然になったり、必要以上に歯を削ることにつながります。
医師の経歴や学会参加の有無を確認してみましょう。
症例写真で前後の違いを比べることも、技術力を知る参考になります。
経験豊富な医師であれば、自然な見た目と機能性を両立した治療が期待できます。
アフターフォローがしっかりとしていて治療後も安心できる
アフターフォローが整っているかどうかは、クリニック選びの重要なポイントです。
セラミックは、硬い食べ物を噛んだり歯ぎしりをしたりすると破損する可能性があります。
また、歯磨きを怠ると虫歯や歯周病が再発し、セラミックを外さなければならない場合も生じることがあります。
そのため、治療後の過ごし方や正しい歯磨き方法を丁寧に指導してくれるかどうかを確認しましょう。
さらに、トラブルが起きたときに電話やLINEで相談できる体制があると安心です。
赤坂さくら歯科クリニックのセラミック治療の特徴
赤坂でセラミック治療を受けるなら、赤坂さくら歯科クリニックがおすすめです。
当院では、次のような特徴があります。
「目的に合わせた複数のセラミック治療」
セラミッククラウン(被せ物)、インレー(詰め物)、ラミネートベニアなど、複数の治療法に対応しています。
前歯の色や形を整えたい、銀歯を白くしたいなど、目的に合わせて選択できます。
「精密な検査とかみ合わせの調整」
レントゲンや歯科用CTで歯や歯茎の状態を細部まで確認し、かみ合わせも考慮します。
さらにマイクロスコープで精密な処置を行うことで、自然で違和感の少ない仕上がりを目指します。
「治療後のケアまでサポート」
当院では定期検診やメンテナンスを通じて、口の中の健康を長くサポートしています。
予約や問い合わせは電話や公式LINEから可能で、赤坂駅から徒歩1分と通いやすい立地にも配慮しています。
これらにより、赤坂さくら歯科クリニックでは見た目と機能性を兼ね備えたセラミック治療を提供できるのです。
赤坂さくら歯科クリニックのセラミック治療はこちらをご覧ください。
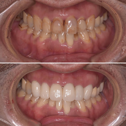
赤坂さくら歯科のセラミックの症例

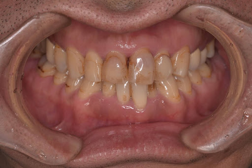
術前の状態は、全体的に強い黄色の変色が認められ、特に前歯部に顕著な着色がありました。
歯の形状も不均一で左右非対称、軽度の叢生と歯間離開も見られました。笑顔の印象が暗く、実年齢より老けて見える状態でした。
そして、術後の状態では上顎前歯部6本(犬歯から犬歯まで)にセラミッククラウンを装着しました。
自然で明るい白さと天然歯のような透明感を実現しました。
黄金比に基づいた理想的なプロポーションで左右完全対称になり、スマイルラインも美しいカーブを描き、若々しく健康的な印象に劇的に改善されました。
セラミック治療は赤坂さくら歯科クリニックにご相談ください

セラミック治療には複数の方法があり、どれを選ぶべきか迷う方は少なくありません。
さらに赤坂には歯科クリニックが多く、自分に合ったところを見つけられず悩む方もいます。
赤坂さくら歯科クリニックは、完全予約制でお待たせしない体制を整えており、ネットから24時間予約が可能です。
赤坂駅から徒歩1分と通いやすい場所にありますので、忙しい方も安心して通院できます。
また、カウンセリングにしっかりと時間をかけ、患者さまのお悩みやご希望を丁寧にお伺いします。
そのうえで、画像や資料を用いてわかりやすく説明し、患者さまに最適な治療法をご提案します。
まずはお気軽にご相談ください。


