赤坂には歯科が多く、「セラミック治療を受けてみたい」と思っても、どこを選べば良いのか迷ってしまう方も少なくありません。
本記事では、赤坂でセラミック治療を検討する方へ向けて、歯科選びで失敗しないための5つのポイントを紹介します。
セラミック治療を赤坂で受けるなら、 赤坂さくら歯科クリニックへお気軽にご相談ください。
目次
セラミック治療におすすめ!赤坂エリアの特徴

赤坂は、ビジネス街と繁華街、高級住宅街の顔をあわせ持つエリアで、忙しいビジネスパーソンから美意識の高い居住者まで、幅広い人が行き交う街です。
赤坂駅・赤坂見附駅・溜池山王駅など複数路線が使え、仕事の前後や合間にもセラミック治療に通いやすい環境があります。
自由診療中心のクリニックや審美歯科、家族で通える歯科など多様な歯科が揃い、希望に合ったセラミック治療を選びやすいことも赤坂ならではの魅力です。
セラミック治療を赤坂で受けるための失敗しない歯科選び5つのポイント
セラミック治療を赤坂で受ける際は、歯科選びが仕上がりや満足度に大きく影響します。
以下より、失敗しないための5つのポイントを見ていきましょう。
1.セラミック治療の症例実績と写真をチェックする
セラミック治療を検討する際は、まず歯科の症例数と症例写真を確認することが大切です。
HPやSNSでどれだけ公開しているかを見ると、経験や技術レベルの目安になります。
自分の悩みに近い症例があれば、治療後のイメージもしやすくなります。
また、見た目だけでなく噛み合わせや歯ぐきなど口全体を総合的に診てくれる歯科を選ぶと、治療後も快適な状態を保ちやすいです。
赤坂さくら歯科クリニックは、自然な白さと「よく噛める」機能性の両立を重視し、天然歯と見分けがつきにくい仕上がりを目指している歯科です。
インスタグラムでは多数の症例写真を公開しており、豊富な症例実績がうかがえます。
さらに、勉強会や研修に積極的に参加する医師をはじめ、豊富な症例経験を持つ専門性の高いスタッフが在籍しており、確かな技術力を備えています。
各分野の専門医がチームで診療にあたることで、あらゆる治療を高い水準で提供できる体制を整えており、幅広いお悩みに対応可能です。
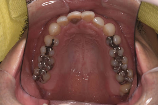
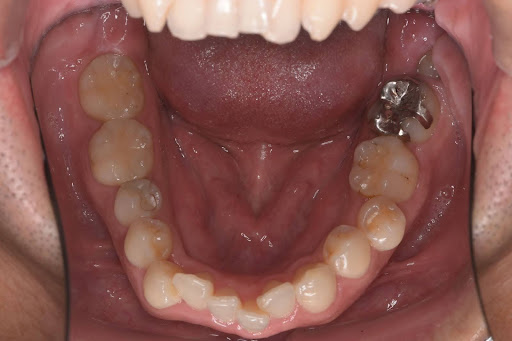
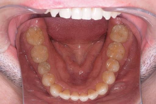
以下の症例写真例は、40代男性の症例です。
前歯のがたつきを改善するためにインビザラインによる矯正とセラミックインレー、根管治療を行い、金属を使わないメタルフリー治療を実施しました。
見た目と機能の両面で大きく改善している様子がわかります。
<Before>

<After>

2.セラミック治療の説明が丁寧か
セラミック治療は費用や治療期間、リスクなどを理解したうえで受けることが大切です。
希望と悩み、予算を踏まえたうえで、治療の選択肢やメリット・デメリット、期間、費用、保険治療との違いなどわかりやすく説明してくれる歯科なら安心して任せられます。
アフターフォローが整っているかも必ず確認したいポイントです。
赤坂さくら歯科クリニックのカウンセリングでは、約1時間を確保し、パノラマ・CTレントゲンや口腔内写真を用いて現状と治療内容を詳しく説明します。
完全予約制で1日4名までに限定し、プライバシーに配慮した専用ルームがあるため、時間をかけた丁寧なカウンセリングを受けることが可能です。
女性スタッフ・女性医師による丁寧な対応も特徴で、女性ならではの優しくきめ細かな治療と心配りにより、患者様は安心して受診できます。
3.使用するセラミック材料にこだわりがある
セラミック治療では、使用する材料の選び方が仕上がりの自然さや持ちを左右します。
治療する部位や噛む力、どこまで白さを求めるかなどによって適切な素材は変わるため、ジルコニアやオールセラミックなど複数の提案をしてくれる歯科を選ぶことが大切です。
強度や耐久性、変色・劣化のしにくさ、金属アレルギーへの配慮など、素材について詳しい説明をしてもらえると安心です。
赤坂さくら歯科クリニックでは、材料選びにこだわっており、強度と耐久性に優れたジルコニアクラウンを採用し、天然歯の色調・透明感に合わせ、精密な色合わせと形態再現を行っています。
金属を使わないためアレルギーが心配な方にも適しており、審美性と機能性の両面から一人一人に合う素材を提案しています。
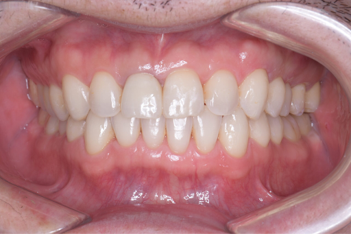
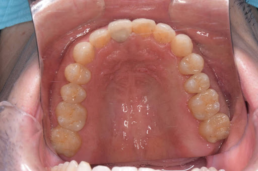
以下は症例写真です。
長年使用していた金属の詰め物を、生体親和性の高いセラミック素材に置き換えました。
天然歯のような透明感が生まれ、金属アレルギーの不安も解消されています。
<Before>


<After>


4.設備と衛生管理が整っているか
セラミック治療の精度を高めるには、歯科医師の技術だけでなく、設備の充実が欠かせません。
マイクロスコープやルーペがあれば肉眼では見えない細部まで確認でき、削る量や型取りの精度が高まりやすくなります。
歯科用CTや口腔内カメラが整った歯科なら、歯根や骨の状態、歯の色、質感などを正確に把握でき、より自然で長持ちするセラミックを目指せます。
さらに、クラスB滅菌器の有無は衛生レベルを判断する大きな目安です。
赤坂さくら歯科クリニックでは、マイクロスコープによる数十μ単位の精密治療を行い、歯と被せ物の隙間を少なくすることで、見た目と機能の両立を図っています。
院内にはクラスB滅菌器、口腔外バキューム、医療用空気清浄機を導入し、粉塵やエアロゾルを素早く除去する体制を整えています。
滅菌器は欧州基準(EN13060)に準拠しており、院内の衛生管理も高水準で統一されていますので、赤坂で高水準の設備と衛生管理を求める方に適した環境です。
5.アクセスの良さと通院のしやすさ
セラミック治療は複数回の通院が必要になるため、アクセスの良さは意外と重要なポイントです。
通いやすい場所にある歯科なら、仕事や家事の合間でも無理なく通院を続けやすくなります。
赤坂さくら歯科クリニックは、赤坂駅1番出口から徒歩30秒、赤坂見附駅からも徒歩圏内で、平日は朝7時30分から診療しているため出勤前にも通院できます。
予約は24時間ウェブから可能で、全室完全個室のためプライバシーに配慮した環境で落ち着いて治療を受けられます。
また、待ち時間が少なく、患者様の時間を大切にしたスムーズな診療を心がけています。
短期集中治療にも対応しており、遠方の方にも来院しやすい体制を整えています。
まとめ

セラミック治療を赤坂で受ける際は、症例実績や説明の丁寧さ、使用する素材、設備、通いやすさなどを総合的に見極めることが大切です。
自分の希望に合った歯科を選ぶことで、納得のいく仕上がりと長く続く安心を得られます。
セラミック治療を赤坂で受けるなら、 赤坂さくら歯科クリニックへお気軽にご相談ください。

