歯科クリーニングは歯の健康と美しさを守るための重要な治療です。
アクセス抜群の赤坂には質の高いクリニックが充実しており、クリニック選びで悩んでしまう方も多いでしょう。
本記事では、クリーニングの基礎知識や赤坂で治療を受けるメリット、失敗しない選び方までを詳しく解説します。
目次
歯科クリーニングとは?初心者が知っておきたい基礎知識

歯科クリーニングは、口腔内を清潔に保つために欠かせないケアです。
毎日の歯磨きでは落としきれない汚れや歯石を、歯科医院で専門的に取り除くことで、虫歯や歯周病を効果的に予防できます。
清潔に保つために特に注意したいのは、歯周病や虫歯などの、痛みを感じる前にじわじわと進行してしまうトラブルです。
初期段階では自覚症状がほとんどないため、定期的なクリーニングによる早期発見が重要になります。
赤坂で歯科クリーニングを受けるべき理由
東京都港区赤坂は、オフィスや商業施設が充実し、都内各所からのアクセスも抜群のエリアです。
その利便性の高さから、仕事や買い物の合間に気軽に通院でき、忙しい方でも継続的なケアがしやすい環境です。
また、この地域には歯のクリーニングや予防歯科に力を入れる歯科医院が多く、健康や美容への意識が高い方に応える高度な設備や技術が整っています。
失敗しない!赤坂の歯医者選び3つのポイント
歯科クリーニングは3〜6カ月に一度のペースで継続的に受けることが理想的です。
だからこそ、長く通い続けられる歯科医院を選ぶことが大切になります。
ここでは、赤坂で歯科医院を選ぶ際にチェックしておきたい3つのポイントを紹介します。
診療時間と予約の取りやすさやアクセスのよさ
定期的なクリーニングを続けるには、何よりも通いやすさが重要です。
自宅や職場から無理なく通える距離にあるか、最寄り駅からのアクセスは良好かなどの立地条件をまず確認しましょう。
また、診療時間も見逃せないポイントです。
平日の夜遅くまで診療している、土曜日や日曜日も対応しているなど、ライフスタイルに合わせて通える時間帯があるかをチェックしてください。
さらに、予約の取りやすさも長く通ううえで欠かせない要素です。
クリニックの技術力と専門性
歯科医師の技術力や専門性は、クリニックによって大きく異なります。
どのような治療に対応できるのか、医師がどの分野を得意としているのかを事前に確認しておくと安心です。
特に予防歯科やクリーニングに力を入れているクリニックでは、最新の知識や技術を積極的に取り入れている傾向があります。
ホームページや口コミなどで、医師の経歴や専門分野、研修への参加状況などをチェックしてみましょう。
院内の衛生管理と設備
治療の質と安全性を左右するのが、設備の充実度と衛生管理の徹底度です。
診断用CTやマイクロスコープなどの先進機器が導入されているクリニックでは、より精密な診断と治療が期待できます。
また、感染予防対策がしっかり行われているかも重要なチェックポイントです。
器具の滅菌処理、使い捨て製品の使用、院内の清潔さなど、衛生面への配慮が行き届いているクリニックを選びましょう。
赤坂で歯のクリーニングなら「赤坂さくら歯科クリニック」
赤坂エリアで質の高い歯科クリーニングをお探しなら、赤坂さくら歯科クリニックがおすすめです。
赤坂さくら歯科クリニックでは、患者様の時間を大切にするため、待ち時間の少ないスムーズな診療を心がけています。
24時間いつでも予約可能なウェブ予約システムを完備しており、スケジュールに合わせて手軽にご予約可能です。
診療では、女性医師と女性スタッフによる優しく丁寧な対応を大切にしており、女性ならではのきめ細かな治療で、どなたでも安心して受診いただける環境を提供しています。
また、各分野の専門医が在籍し、全ての治療を高水準で提供できる体制を整えています。
さらに、医師は多数の勉強会に出席し、豊富な症例経験を積んでいるため、確かな技術力で幅広いお悩みに対応可能です。
赤坂さくら歯科クリニックのクリーニングメニュー
赤坂さくら歯科クリニックでは、一人一人の口腔内の状態や目的に応じて適切なクリーニングをご提供しています。
主なメニューは、エアフロークリーニング、PMTC、シーラント、フッ素塗布の4種類です。
それぞれに異なる特徴と効果があるため、歯科医師や歯科衛生士が丁寧にカウンセリングを行い、患者様に合ったケア方法をご提案します。
エアフロークリーニングの特徴
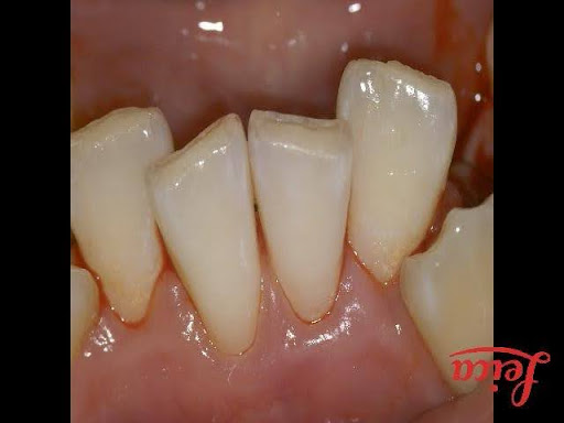
奥に引っ込んで黒く着色してしまっている歯をエアフローで綺麗にしたビフォーアフターの写真です。
歯茎から出血があるのは歯茎に炎症が会ったことが原因で、痛みは全くありません。
こちらが術前の写真となっております。

術後はこのように綺麗に変化しました。

エアフロークリーニングは、歯を傷つけずに着色汚れを除去し、自然な白さを取り戻す方法です。
温水使用で痛みやしみが少なく、ブラシが届かない細部や歯周ポケット内の細菌も徹底除去できるため、高い予防効果があります。
処置後は汚れの再付着を防ぎ、歯茎の血行促進による健康維持も期待できる優しいケアです。
PMTCで徹底的に歯をキレイに
PMTCとは、歯科医師や歯科衛生士が専用器械を用いて行うプロによるクリーニングのことです。
目的は、普段の歯磨きでは落としきれない「バイオフィルム(細菌の塊)」の除去です。
これを定期的に取り除くことで、虫歯や歯周病、歯肉炎を効果的に予防します。
また、歯の表面を滑らかに磨き上げるため、新たな汚れが付きにくくなり、フッ素の浸透効果も高まります。
さらに、着色汚れを落として歯本来の白さを取り戻す効果や、細菌を減らして口臭を防ぐ効果も期待でき、口腔内の健康と美しさを保つのにおすすめです。
予防ケア(フッ素塗布・シーラント)
虫歯などの予防ケアには、シーラントとフッ素塗布をご用意しています。
シーラントは歯の溝を樹脂で埋める処置で、磨き残しが生じやすいお子様の奥歯などの虫歯予防に効果的です。
フッ素塗布は歯の再石灰化を促し、歯質を強化します。
適切な頻度は年齢などで異なるため、医師と相談の上、計画的に受けることを推奨します。
まとめ
お口の健康を守る歯科クリーニングは、痛みが出る前の「予防」として継続することが何より大切です。
特にアクセスが良く、高度な医療が集まる赤坂エリアは、忙しい合間でも質の高いケアを継続するのに最適な環境でしょう。
赤坂さくら歯科クリニックは、数ある医院の中でも専門医による高水準な技術と、女性スタッフ中心の細やかな配慮が魅力です。
エアフロークリーニングやPMTCなどの充実したメニューに加え、24時間予約可能なシステムなど、通いやすさにも配慮しています。
口腔内の健康が気になる方は、ぜひ一度ご相談ください。

