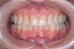
症例写真 Zenyum
Zenyumの部分矯正、インプラント
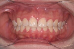
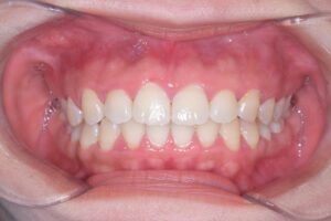
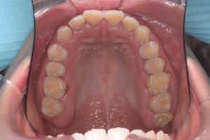
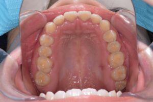
Before | After |
|---|---|
![]() |
![]() |
![]() |
![]() |
![]() |
![]() |
![]() |
![]() |
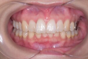
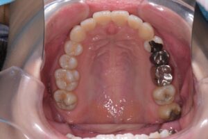
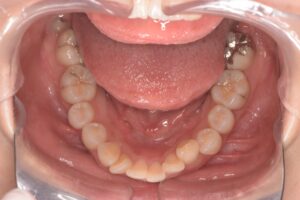
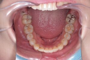
| 治療期間 | 1年 |
|---|---|
| 治療費 | 824,000円 |
| 年齢・性別 | 20代男性 |
| リスクと副作用 | 腫れ、痛み、感染、神経損傷、将来的な脱落 |
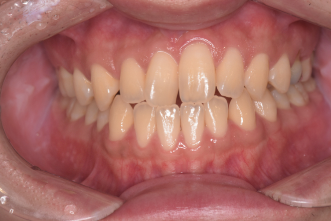
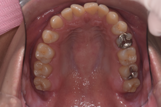
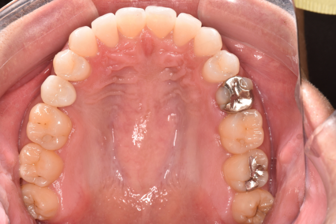
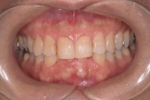
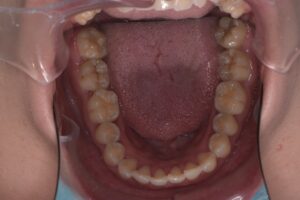
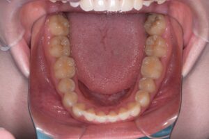
| 備考 | Zenyumの部分矯正とインプラントをされた方です。 歯のがたつきを気にされて来院されました。叢生もありましたが、右上5番が先天欠如でその隙間が広がってしまっている状態でした。 Zenyumの部分矯正で叢生と空隙を整え、矯正終了時に欠損している右上5番部分にノーベルバイオケア社のインプラントを埋入し、上部構造がセットされた後にリテーナー(保定装置)に移りました。 よく噛めるようになったと喜んでらっしゃいました。 |
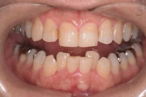
Case01
Before | After |
|---|---|
![]() |
![]() |
![]() |
![]() |
![]() |
![]() |
| IPR | 3回 |
|---|---|
| 治療期間 | 10ヶ月 |
| 治療費 | 320,000円 |
| 年齢・性別 | 30代男性 |
| リスクと副作用 | 痛み・違和感、後戻り、むし歯、歯肉炎 |
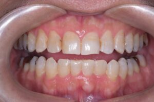
Case02
Before | After |
|---|---|
![]() |
![]() |
![]() |
![]() |
![]() |
![]() |
| 年齢・性別 | 40代男性 |
|---|---|
| リスクと副作用 | 痛み・違和感、後戻り、むし歯、歯肉炎 |
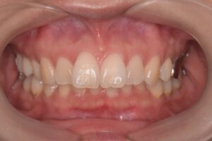
Case03
Before | After |
|---|---|
![]() |
![]() |
![]() |
![]() |
![]() |
![]() |
| 年齢・性別 | 30代女性 |
|---|---|
| リスクと副作用 | 痛み・違和感、後戻り、むし歯、歯肉炎 |
Case04
Before | After |
|---|---|
![]() |
![]() |
![]() |
![]() |
![]() |
![]() |
| 年齢・性別 | 20代女性 |
|---|---|
| リスクと副作用 | 痛み・違和感、後戻り、むし歯、歯肉炎 |

































