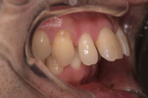
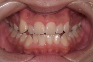
症例写真 ワイヤー矯正
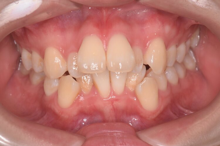
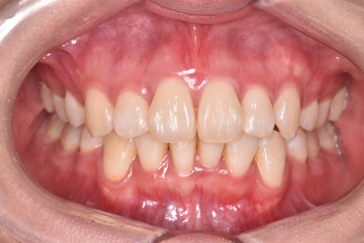
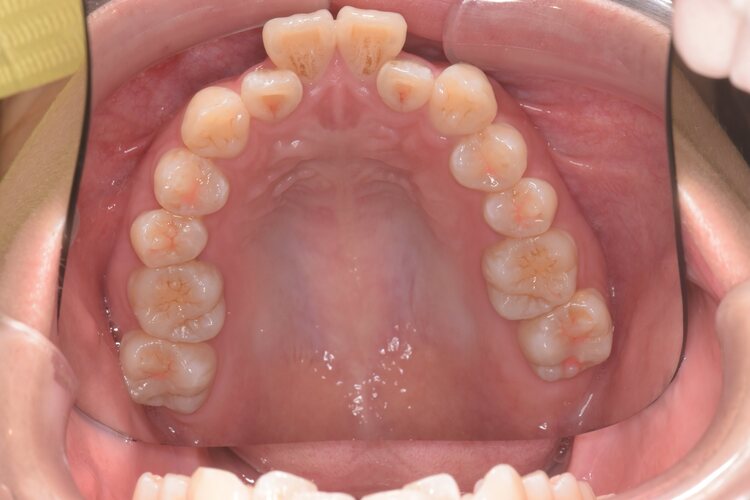
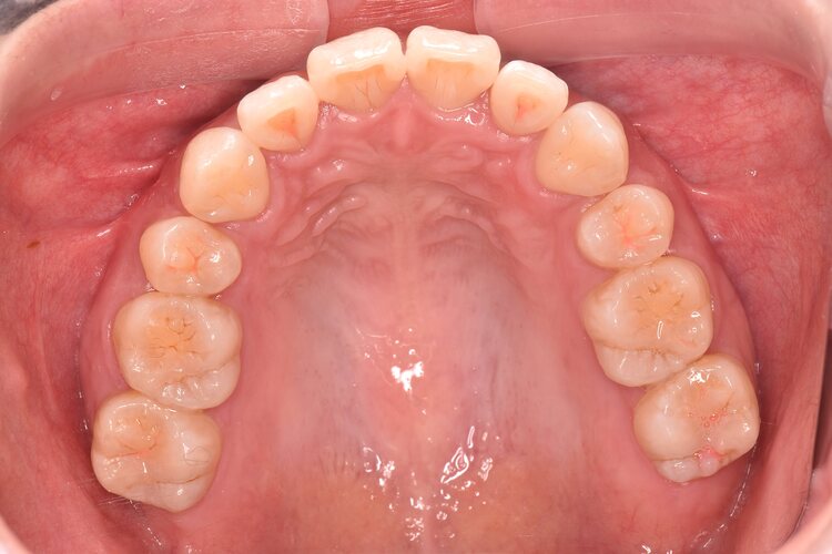
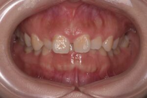
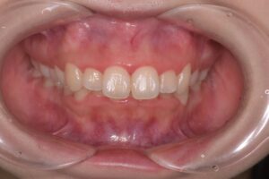
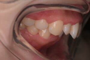
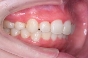
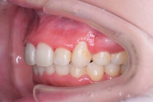
舌側ワイヤー矯正
Before | After |
|---|---|
![]() |
![]() |
![]() |
![]() |
| 治療費 | 1,100,000円 |
|---|---|
| 年齢・性別 | 20代女性 |
| リスクと副作用 | 痛み・口内炎、むし歯、歯肉炎 |
| 備考 | 歯並びは気になっていないが口ゴボ(口元の出っ張り)が気になることが主訴でした。 口元の突出感の改善を目指し、リンガル矯正で上下左右の4番を4本抜歯し舌側矯正を行いました。 Eラインも整い、とても喜ばれています。現在はエアフローなどのメインテナンスで通院を継続されています。 歯科矯正治療、お疲れ様でした。 |
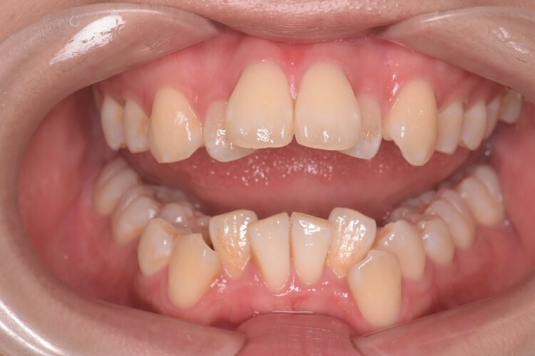
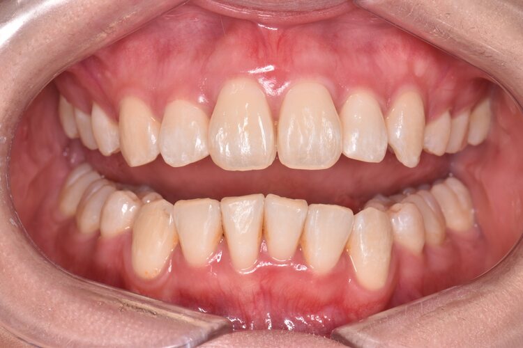
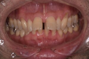
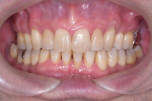
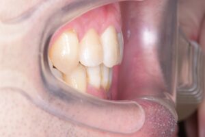
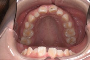
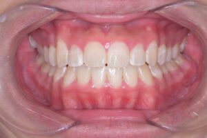
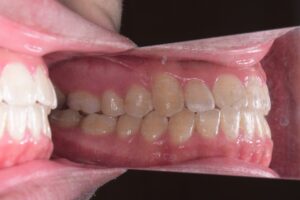
ワイヤー矯正(表側)
Before | After |
|---|---|
![]() |
![]() |
![]() |
![]() |
![]() |
![]() |
![]() |
![]() |
| 治療期間 | 2年 |
|---|---|
| 治療費 | 990,000円 |
| 年齢・性別 | 20代女性 |
| リスクと副作用 | 痛み・口内炎、むし歯、歯肉炎 |
| 備考 | 歯並びががたついているのが気になると上下の叢生を気にされて初診来院されました。 がたつきが強かったため、上下4番の4本を抜歯して抜歯矯正を行いました。 見違えるように口元の印象が変わり、とても喜んでらっしゃいました。 |
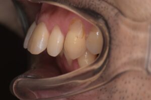
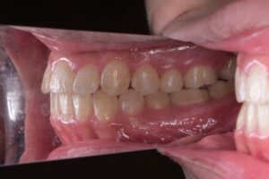
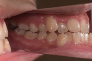
Case01
Before | After |
|---|---|
![]() |
![]() |
![]() |
![]() |
| 治療期間 | 6ヶ月 |
|---|---|
| 治療費 | 990,000円 |
| 年齢・性別 | 20代男性 |
| リスクと副作用 | 痛み・口内炎、むし歯、歯肉炎 |
| 備考 | 20代の男性。 |
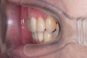
Case02①
Before | After |
|---|---|
![]() |
![]() |
![]() |
![]() |
![]() |
![]() |
| 治療期間 | 2年2ヶ月 |
|---|---|
| 治療費 | 1,693,450円 |
| 年齢・性別 | 20代女性 |
| リスクと副作用 | 痛み・口内炎、むし歯、歯肉炎 |
| 備考 | 20代女性。 前歯部の歪みを気にされて矯正治療を希望されました。 虫歯で保存不可能な歯牙や根管治療が必要な歯牙が複数あったため、歯列矯正前に虫歯治療を行いました。 他院での根管治療を中断していた左上5番は精密根管治療を行いジルコニアクラウン補綴を行いました。 骨縁下カリエスで保存不可能と診断した上顎臼歯部は矯正前に抜歯を行い、左右の親知らずを牽引し、上顎6番の位置に移動させ、下顎と咬合するように矯正を行いました。 歯を抜くことになった場合はインプラントのみでなく矯正で奥の歯牙を移動させ、欠損部を補う方法も赤坂さくら歯科クリニックでは多く行っています。 |
Case02②
Before | After |
|---|---|
![]() |
![]() |
![]() |
![]() |
![]() |
![]() |
| 治療期間 | 2年2ヶ月 |
|---|---|
| 治療費 | 1,693,450円 |
| 年齢・性別 | 20代女性 |
| リスクと副作用 | 痛み・口内炎、むし歯、歯肉炎 |
| 備考 | 20代女性。 前歯部の歪みを気にされて矯正治療を希望されました。 虫歯で保存不可能な歯牙や根管治療が必要な歯牙が複数あったため、歯列矯正前に虫歯治療を行いました。 他院での根管治療を中断していた左上5番は精密根管治療を行いジルコニアクラウン補綴を行いました。 骨縁下カリエスで保存不可能と診断した上顎臼歯部は矯正前に抜歯を行い、左右の親知らずを牽引し、上顎6番の位置に移動させ、下顎と咬合するように矯正を行いました。 歯を抜くことになった場合はインプラントのみでなく矯正で奥の歯牙を移動させ、欠損部を補う方法も赤坂さくら歯科クリニックでは多く行っています。 |
case04
Before | After |
|---|---|
![]() |
![]() |
![]() |
![]() |
![]() |
![]() |
| 治療期間 | 2年6ヶ月 |
|---|---|
| 治療費 | 990,000円 |
| 年齢・性別 | 40代男性 |
| リスクと副作用 | 痛み・口内炎、むし歯、歯肉炎 |
| 備考 | 40代男性。 前歯のすき間が気になることを主訴に矯正希望で来院されました。 上顎前歯部の強い唇側傾斜と、下顎前歯の突き上げによる上顎前歯のすき間ができていました。 口唇の突出感や前突感の改善のために、上下左右の4番を4本抜歯して表側のワイヤー矯正を行いました。 抜歯矯正が終わった後に、上顎左右2番のサイズが小さくアンバランスだったので、上顎2番の矮小歯のみラミネートベニアで歯冠修復を行いました。 ラミネートベニアは歯の表面をほど削らず、薄いセラミックとつけ爪のように歯に接着させるセラミック治療です。歯の切削量が少なく歯に優しい審美治療です。 歯列矯正・審美治療後は見違えるように綺麗になりとても喜んでいただきました。 現在は矯正後のメインテナンスやクリーニングで来院されています。 |
case 05
Before | After |
|---|---|
![]() |
![]() |
![]() |
![]() |
![]() |
![]() |
| 治療期間 | 2年 |
|---|---|
| 治療費 | 990,000円 |
| 年齢・性別 | 20代女性 |
| リスクと副作用 | 痛み・口内炎、むし歯、歯肉炎 |
case06
Before | After |
|---|---|
![]() |
![]() |
![]() |
![]() |
![]() |
![]() |
| 治療期間 | 2年 |
|---|---|
| 治療費 | 990,000円 |
| 年齢・性別 | 20代男性 |
| リスクと副作用 | 痛み・口内炎、むし歯、歯肉炎 |
case07
Before | After |
|---|---|
![]() |
![]() |
![]() |
![]() |
![]() |
![]() |
| 治療期間 | 2年 |
|---|---|
| 治療費 | 1,100,000円 |
| 年齢・性別 | 20代女性 |
| リスクと副作用 | 痛み・口内炎、むし歯、歯肉炎 |




















































