- TOP
- 症例写真一覧
症例写真 インプラント
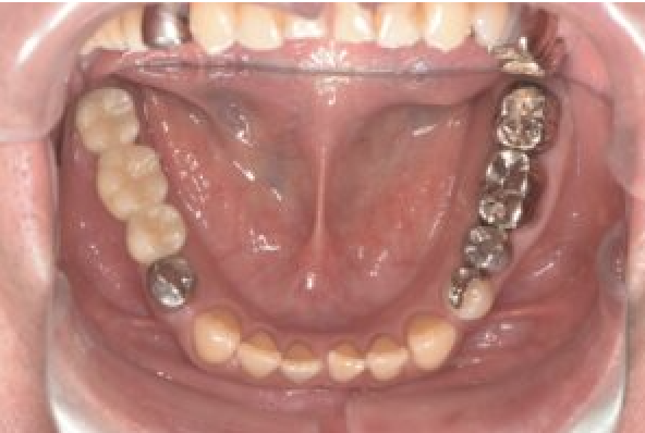
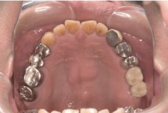
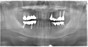
Case01 インプラント(サイナスリフトによる骨造成併用)
Before | After |
|---|---|
![]() |
![]() |
![]() |
![]() |
![]() |
![]() |
| 年齢・性別 | 60代男性 |
|---|---|
| リスクと副作用 | 腫れ、痛み、感染、神経損傷、将来的な脱落 |
| 備考 | 60代の男性の患者様です。 左上のブリッジが歯根破折で保存不可能となり、インプラントを希望されました。 インプラントを埋入する骨の高さが足りなかったため、サイナスリフトを行い、垂直的に骨の高さを増した上でインプラントを2本埋入しました。 埋入してまもなく、噛み心地が良かったとのことで部分入れ歯が入っていた右下の欠損部もインプラントを希望され、左上と同じくインプラントによる欠損補綴を行いました。 よく噛めるようになったと喜ばれていました。 |
Case02下顎左右6番インプラント(マウスピース矯正を併用)
Before | After |
|---|---|
![]() |
![]() |
![]() |
![]() |
![]() |
![]() |
![]() |
![]() |
| 治療期間 | 6ヶ月 |
|---|---|
| 治療費 | インプラント2本1,100,000円 |
| 年齢・性別 | 20代女性 |
| リスクと副作用 | 腫れ、痛み、感染、神経損傷、将来的な脱落 |
| 備考 | 20代女性です。インプラント希望で来院されました。 他院でインプラントを入れるスペースがなく両方の歯を削る必要があると言われ、抵抗があるとのことでセカンドオピニオンで当院に来院されました。 赤坂さくら歯科クリニックオリジナルのインハウスアイライナーのサクライナー矯正で、隙間を閉じた上で一切削らずにインプラントを行いました。 患者様は隙間にものが挟まるストレスからも解放され、とても喜んでらっしゃいました。使用したインプラントはノーベルバイオケア社のインプラントになります。 大臼歯であっても細いインプラントを隙間を矯正などで調整しながら入れることが可能です。 |
Zenyumの部分矯正、インプラント
Before | After |
|---|---|
![]() |
![]() |
![]() |
![]() |
![]() |
![]() |
![]() |
![]() |
| 治療期間 | 1年 |
|---|---|
| 治療費 | 824,000円 |
| 年齢・性別 | 20代男性 |
| リスクと副作用 | 腫れ、痛み、感染、神経損傷、将来的な脱落 |
| 備考 | Zenyumの部分矯正とインプラントをされた方です。 歯のがたつきを気にされて来院されました。叢生もありましたが、右上5番が先天欠如でその隙間が広がってしまっている状態でした。 Zenyumの部分矯正で叢生と空隙を整え、矯正終了時に欠損している右上5番部分にノーベルバイオケア社のインプラントを埋入し、上部構造がセットされた後にリテーナー(保定装置)に移りました。 よく噛めるようになったと喜んでらっしゃいました。 |
インプラント、ソケットリフト、ダイレクトボンディング、ジルジニアクラウン
Before | After |
|---|---|
![]() |
![]() |
![]() |
![]() |
![]() |
![]() |
| 治療期間 | 1年6ヶ月 |
|---|---|
| 治療費 | インプラント1本500,000円 ソケットリフト110,000円 ダイレクトボンディング〜ジルジニアクラウン1本30,000円〜170,000円 |
| 年齢・性別 | 40代男性 |
| 備考 | 右上の欠損部へのインプラントを希望で来院されました。 左下のブリッジの下にものが挟まりやすいとのことでブリッジ部分もインプラント埋入を希望されました。口腔内の銀歯も全て綺麗にやりかえたいとのことで、ダイレクトボンディングやセラミックインレーやジルコニアクラウンでやりかえていきました。 右上6番のインプラント埋入時にはソケットリフトで骨造成を行なっています。 見た目だけではなく噛みやすくなりとても満足されています。現在はエアフローのクリーニングやホワイトニングで通院されています。 |
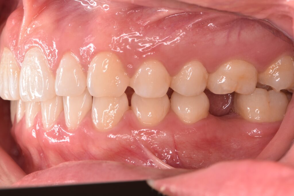
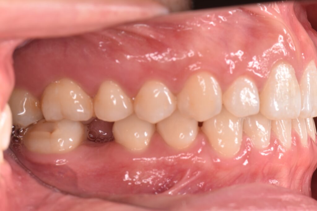
右下6・7番抜歯即時インプラント・セラミックインレー
Before | After |
|---|---|
![]() |
![]() |
![]() |
![]() |
| 治療費 | 右下7番 セラミックインレー 88,000円 右下6番 抜歯即時インプラント(GBR込み)上部構造まで1本638,000円 |
|---|---|
| 年齢・性別 | 40代男性 |
| リスクと副作用 | 腫れ、痛み、感染、神経損傷、将来的な脱落 |
| 備考 | 右下6番の近心根と分岐部が歯根破折により腫れて痛みがあるとのことで来院されました。 抜歯と同時にインプラントを埋入する抜歯即時インプラントを行い、骨欠損部には骨補填材を填入しGBR(骨造成)を行いました。右下6番の治療中に右下7番の近心に虫歯があったため、銀歯を除去し、セラミックインレー修復を行いました。 見た目も綺麗になり、腫れることもなくなったため、患者様はとても満足されていました。 現在はエアフロークリーニングを行いながら経過をみています。 体調を崩した時、疲れた時などに腫れたり膿が出る歯がある方は一度ご相談ください。 |
































