症例写真 審美歯科(メタルフリー、セラミック、ホワイトニング、ウォーキングブリーチ)
case 11ウォーキングブリーチ
Before | After |
|---|---|
![]() |
![]() |
| 治療費 | ウォーキングブリーチ33,000円 精密根管治療110,000円 コンポジットレジン33,000円 |
|---|---|
| 年齢・性別 | 60代男性 |
| リスクと副作用 | 知覚過敏、色の後戻り、二次虫歯、歯根吸収や再変色 |
| 備考 | 前歯部の審美障害を主訴に来院されました。 古いコンポジットレジン(プラスチックの詰め物)の辺縁の虫歯や変色によって黒く目立ってしまっている詰め物をダイレクトボンディングという方法でやりかえました。 左上1番の神経を取った歯が茶色に変色していたため、再根管治療として精密根管治療を行い、歯の内部からホワイトニングを行うウォーキングブリーチという方法で歯を白くしました。 赤坂さくら歯科クリニックではダイレクトボンディングと精密根管治療時は必ずラバーダム防湿を行なっております。 患者様は喫煙者で着色も気にされていましたが、綺麗に白くなられてとても喜んでおられました。 続いて奥歯の銀歯のセラミックやジルコニアへのやりかえを希望され、現在治療中です。 |
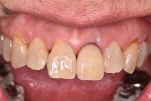
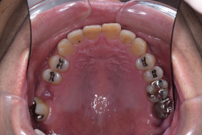
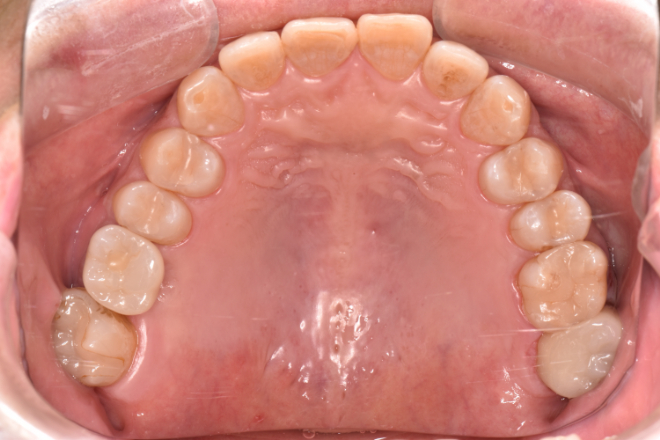
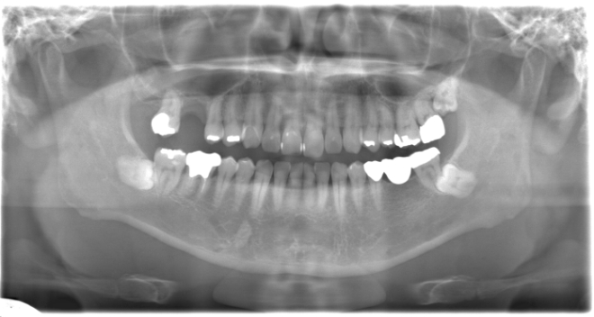
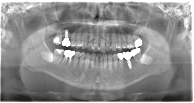
インプラント、ソケットリフト、ダイレクトボンディング、ジルジニアクラウン
Before | After |
|---|---|
![]() |
![]() |
![]() |
![]() |
![]() |
![]() |
| 治療期間 | 1年6ヶ月 |
|---|---|
| 治療費 | インプラント1本500,000円 ソケットリフト110,000円 ダイレクトボンディング〜ジルジニアクラウン1本30,000円〜170,000円 |
| 年齢・性別 | 40代男性 |
| 備考 | 右上の欠損部へのインプラントを希望で来院されました。 左下のブリッジの下にものが挟まりやすいとのことでブリッジ部分もインプラント埋入を希望されました。口腔内の銀歯も全て綺麗にやりかえたいとのことで、ダイレクトボンディングやセラミックインレーやジルコニアクラウンでやりかえていきました。 右上6番のインプラント埋入時にはソケットリフトで骨造成を行なっています。 見た目だけではなく噛みやすくなりとても満足されています。現在はエアフローのクリーニングやホワイトニングで通院されています。 |
右下6・7番抜歯即時インプラント・セラミックインレー
Before | After |
|---|---|
![]() |
![]() |
![]() |
![]() |
| 治療費 | 右下7番 セラミックインレー 88,000円 右下6番 抜歯即時インプラント(GBR込み)上部構造まで1本638,000円 |
|---|---|
| 年齢・性別 | 40代男性 |
| リスクと副作用 | 腫れ、痛み、感染、神経損傷、将来的な脱落 |
| 備考 | 右下6番の近心根と分岐部が歯根破折により腫れて痛みがあるとのことで来院されました。 抜歯と同時にインプラントを埋入する抜歯即時インプラントを行い、骨欠損部には骨補填材を填入しGBR(骨造成)を行いました。右下6番の治療中に右下7番の近心に虫歯があったため、銀歯を除去し、セラミックインレー修復を行いました。 見た目も綺麗になり、腫れることもなくなったため、患者様はとても満足されていました。 現在はエアフロークリーニングを行いながら経過をみています。 体調を崩した時、疲れた時などに腫れたり膿が出る歯がある方は一度ご相談ください。 |
オフィスホワイトニング1回
Before | After |
|---|---|
![]() |
![]() |
| 治療費 | 22,000円 |
|---|---|
| 年齢・性別 | 30代男性 |
| リスクと副作用 | 知覚過敏、色の後戻り |
オフィスホワイトニング1回
Before | After |
|---|---|
![]() |
![]() |
| 治療費 | 22,000円 |
|---|---|
| 年齢・性別 | 30代男性 |
| リスクと副作用 | 知覚過敏、色の後戻り |
オフィスホワイトニング1回
Before | After |
|---|---|
![]() |
![]() |
| 治療費 | 22,000円 |
|---|---|
| 年齢・性別 | 30代男性 |
| リスクと副作用 | 知覚過敏、色の後戻り |



















