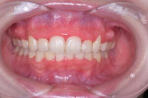
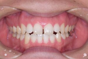
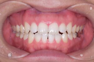
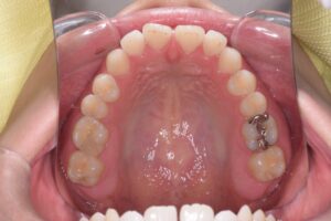
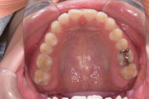
症例写真 審美歯科(メタルフリー、セラミック、ホワイトニング、ウォーキングブリーチ)
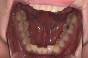
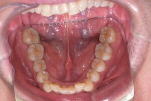
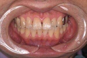
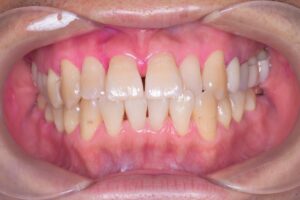
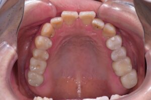
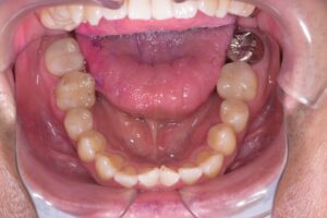
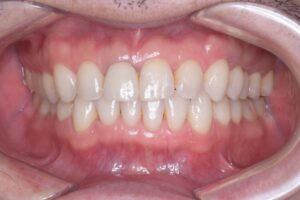
Case01
Before | After |
|---|---|
![]() |
![]() |
![]() |
![]() |
| 治療期間 | 1ヶ月 |
|---|---|
| 治療費 | 165,000円 |
| 年齢・性別 | 50代女性 |
| リスクと副作用 | 知覚過敏、色の後戻り、二次虫歯 |
| 備考 | 備考 右下2番 ジルコニアクラウン |
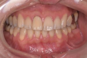
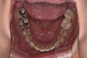
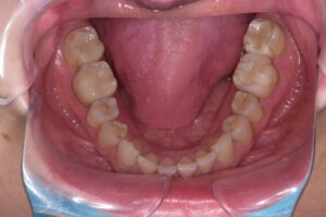
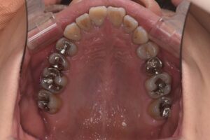
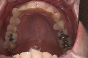
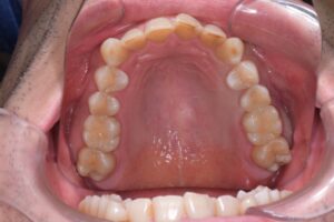
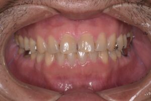
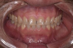
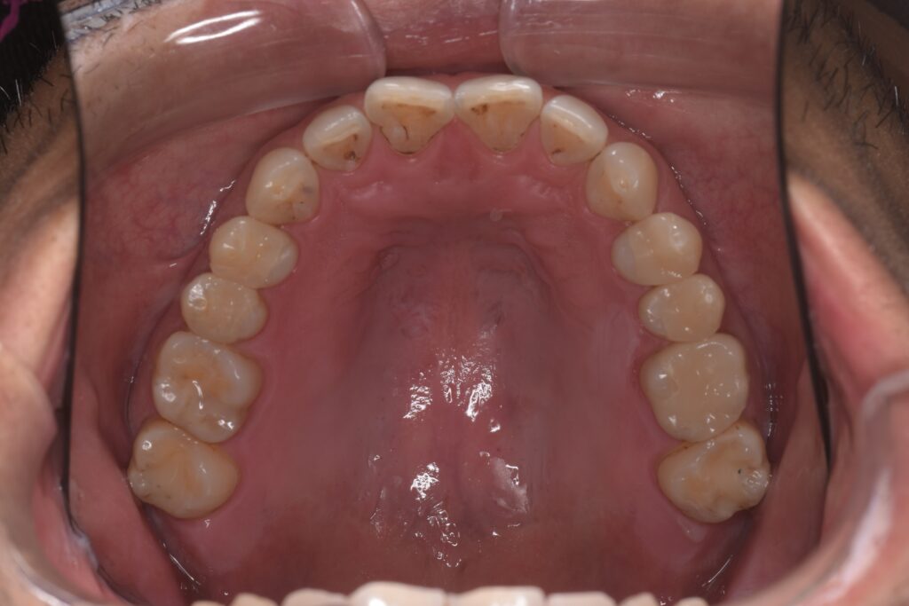
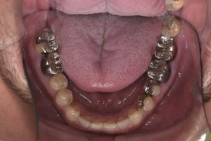
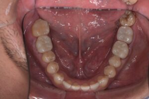
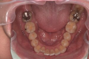
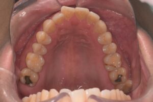
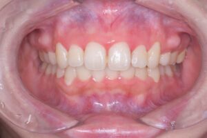
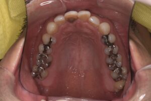
Case02 メタルフリー
Before | After |
|---|---|
![]() |
![]() |
![]() |
![]() |
![]() |
![]() |
| 治療期間 | 2ヶ月 |
|---|---|
| 治療費 | 649,000円 |
| 年齢・性別 | 30代男性 |
| リスクと副作用 | 知覚過敏、色の後戻り、二次虫歯、噛み合わせの違和感 |
| 備考 | 銀歯やりかえメタルフリー |
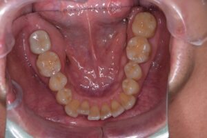
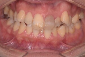
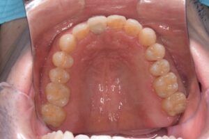
Case03 メタルフリー
Before | After |
|---|---|
![]() |
![]() |
![]() |
![]() |
| 治療費 | 220,000円 |
|---|---|
| 年齢・性別 | 50代男性 |
| リスクと副作用 | 知覚過敏、色の後戻り、二次虫歯、噛み合わせの違和感 |
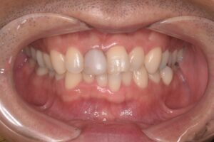
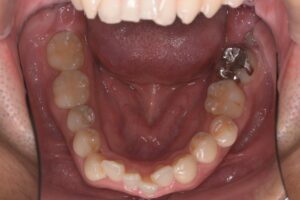
Case04 メタルフリー
Before | After |
|---|---|
![]() |
![]() |
![]() |
![]() |
![]() |
![]() |
| 治療費 | 1,210,000円 |
|---|---|
| 年齢・性別 | 40代男性 |
| リスクと副作用 | 知覚過敏、色の後戻り、二次虫歯、噛み合わせの違和感 |
| 備考 | 銀歯やりかえ |
Case05 メタルフリー
Before | After |
|---|---|
![]() |
![]() |
![]() |
![]() |
| 治療費 | 330,000円 |
|---|---|
| 年齢・性別 | 40代男性 |
| リスクと副作用 | 知覚過敏、色の後戻り、二次虫歯、噛み合わせの違和感 |
| 備考 | 銀歯やりかえ |
Case06 メタルフリー
Before | After |
|---|---|
![]() |
![]() |
![]() |
![]() |
![]() |
![]() |
| 治療費 | 1,606,000円 |
|---|---|
| 年齢・性別 | 40代男性 |
| リスクと副作用 | 知覚過敏、色の後戻り、二次虫歯、噛み合わせの違和感 |
Case07 歯冠延長術
Before | After |
|---|---|
![]() |
![]() |
| 治療費 | 176,000円 |
|---|---|
| 年齢・性別 | 20代女性 |
| リスクと副作用 | 知覚過敏、色の後戻り、二次虫歯 |
| 備考 | 歯が四角いのが気になる。 歯肉を切除し長方形に近づけました。 歯冠延長術1歯44000円 |
Case08 ウォーキングブリーチ
Before | After |
|---|---|
![]() |
![]() |
| 治療費 | 143,000円 |
|---|---|
| 年齢・性別 | 30代男性 |
| リスクと副作用 | 知覚過敏、色の後戻り、二次虫歯、歯根吸収や再変色 |
| 備考 | 歯をぶつけて歯髄が失活し、歯冠が変色してしまったのでウォーキングブリーチを行い歯冠を白くしました。 |
Case09 メタルフリー
Before | After |
|---|---|
![]() |
![]() |
![]() |
![]() |
![]() |
![]() |
| 治療費 | 814,000円 |
|---|---|
| 年齢・性別 | 40代男性 |
| リスクと副作用 | 知覚過敏、色の後戻り、二次虫歯、噛み合わせの違和感 |
Case10 サクライナー
Before | After |
|---|---|
![]() |
![]() |
![]() |
![]() |
| 年齢・性別 | 不明男性 |
|---|---|
| リスクと副作用 | 知覚過敏、色の後戻り、二次虫歯 |













































